留言板

尊敬的读者、作者、审稿人, 关于本刊的投稿、审稿、编辑和出版的任何问题, 您可以本页添加留言。我们将尽快给您答复。谢谢您的支持!

姓名
邮箱
手机号码
标题
留言内容
验证码

pH值对人真皮微血管内皮细胞成管的影响及其分子机制

王晓琳 李靖 边永钎 李金清 李学拥

王晓琳, 李靖, 边永钎, 等. pH值对人真皮微血管内皮细胞成管的影响及其分子机制[J]. 中华烧伤与创面修复杂志, 2023, 39(7): 662-670. DOI: 10.3760/cma.j.cn501225-20220930-00429.
引用本文: 王晓琳, 李靖, 边永钎, 等. pH值对人真皮微血管内皮细胞成管的影响及其分子机制[J]. 中华烧伤与创面修复杂志, 2023, 39(7): 662-670. DOI: 10.3760/cma.j.cn501225-20220930-00429.
Wang XL,Li J,Bian YQ,et al.Influence of pH value on tube formation of human dermal microvascular endothelial cells and its molecular mechanism[J].Chin J Burns Wounds,2023,39(7):662-670.DOI: 10.3760/cma.j.cn501225-20220930-00429.
Citation: Wang XL,Li J,Bian YQ,et al.Influence of pH value on tube formation of human dermal microvascular endothelial cells and its molecular mechanism[J].Chin J Burns Wounds,2023,39(7):662-670.DOI: 10.3760/cma.j.cn501225-20220930-00429.

pH值对人真皮微血管内皮细胞成管的影响及其分子机制

doi: 10.3760/cma.j.cn501225-20220930-00429
基金项目: 

国家自然科学基金面上项目 31570986

陕西省自然科学基础研究计划 2023-JC-QN-0916

详细信息
    通讯作者:

    李学拥,Email:yuyong@fmmu.edu.cn

Influence of pH value on tube formation of human dermal microvascular endothelial cells and its molecular mechanism

Funds: 

General Program of National Natural Science Foundation of China 31570986

Natural Science Basic Research Program of Shaanxi Province of China 2023-JC-QN-0916

More Information
  • 摘要:   目的   探讨pH值对人真皮微血管内皮细胞(HDMEC)成管的影响并研究其分子机制,为促进创面愈合过程中血管新生的研究提供理论依据。   方法   采用实验研究方法。取第4、5代对数生长期HDMEC进行实验,制备pH值分别为6.4、6.6、6.8、7.0、7.2、7.4、7.6、7.8的培养液,用其适应性培养细胞(培养方式下同)24 h后进行后续实验。另培养36 h,采用流式细胞仪测定胞质pH值的相对荧光值并对胞质pH值的相对荧光值与培养液pH值进行相关分析。另培养1.5、2.5、3.5、4.5、5.5 d,采用细胞计数试剂盒8检测细胞增殖活性。采用Oris TM细胞迁移检测试剂盒检测去掉播种塞后0(即刻)、24、48 h细胞迁移剩余面积。进行三维基质胶细胞成管实验,检测另培养48 h细胞成管的管腔直径。另培养48 h,采用蛋白质印迹法检测细胞中蛋白激酶B(Akt)磷酸化位点473、308的蛋白表达。样本数均为3。对数据行Pearson相关性分析、单因素方差分析、析因设计方差分析、重复测量方差分析与Bonferroni校正。   结果   另培养36 h,与pH值6.4培养液相比,pH值6.8~7.8培养液培养细胞胞质pH值的相对荧光值均显著升高( P<0.05);与pH值6.6~7.0培养液相比,pH值7.4~7.8培养液培养细胞胞质pH值的相对荧光值均显著升高( P<0.05),且pH值6.6培养液培养细胞胞质pH值的相对荧光值明显低于pH值7.0、7.2培养液( P值均<0.05);pH值7.6、7.8培养液培养细胞胞质pH值的相对荧光值均显著高于pH值7.2、7.4培养液( P<0.05)。胞质pH值的相对荧光值与培养液pH值呈显著正相关( r=0.99, P<0.05)。8种pH值培养液另培养1.5 d细胞增殖活性相近( P>0.05)。另培养2.5 d,与pH值7.6培养液相比,pH值6.4~6.8培养液培养细胞增殖活性均显著下降( P<0.05)。另培养3.5 d,与pH值6.4~6.8培养液相比,pH值7.0~7.8培养液培养细胞增殖活性均显著升高( P<0.05);与pH值7.6培养液相比,pH值7.0~7.4、7.8培养液培养细胞增殖活性均显著下降( P<0.05)。另培养4.5、5.5 d,与pH值6.4培养液相比,pH值6.8~7.8培养液培养细胞增殖活性均显著升高( P<0.05);与pH值6.6、6.8培养液相比,pH值7.0~7.8培养液培养细胞增殖活性均显著升高( P<0.05)。另培养4.5 d,pH值7.6培养液培养细胞增殖活性显著高于pH值7.0培养液( P<0.05)。另培养5.5 d,与pH值7.0培养液相比,pH值7.2~7.6培养液培养细胞增殖活性均显著升高( P<0.05);与pH值7.2、7.4培养液相比,pH值7.6培养液培养细胞增殖活性显著升高( P值均<0.05),pH值7.8培养液培养细胞增殖活性显著降低( P值均<0.05)。去掉播种塞后0 h,8种pH值培养液培养细胞迁移剩余面积相近( P>0.05)。去掉播种塞后24 h,与pH值6.4培养液相比,pH值6.6~7.8培养液培养细胞迁移剩余面积均显著缩小( P<0.05);与pH值6.6、6.8培养液相比,pH值7.0~7.6培养液培养细胞迁移剩余面积均显著缩小( P<0.05)。去掉播种塞后48 h,与pH值6.4、6.6培养液相比,pH值7.0~7.8培养液培养细胞迁移剩余面积均显著缩小( P<0.05);pH值7.2、7.4培养液培养细胞迁移剩余面积均显著小于pH值6.8、7.0、7.8培养液( P<0.05),均显著大于pH值7.6培养液( P<0.05);pH值7.6培养液培养细胞迁移剩余面积显著小于pH值6.8、7.8培养液( P值均<0.05)。另培养48 h,pH值7.0、7.2、7.4、7.6、7.8培养液培养细胞成管的管腔直径分别为(5.0±0.5)、(7.6±0.9)、(8.5±0.7)、(11.0±0.8)、(5.3±0.8)μm,均显著长于pH值6.4培养液的(2.8±0.8)μm( P<0.05);pH值6.6[(4.2±0.3)μm]、6.8[(4.5±0.6)μm]、7.0、7.8培养液培养细胞成管的管腔直径均显著短于pH值7.6培养液( P<0.05)。另培养48 h,与pH值6.4、6.6培养液相比,pH值6.8~7.8培养液培养细胞中Akt磷酸化位点473、308蛋白表达均明显升高( P<0.05),且pH值6.6培养液培养细胞中Akt磷酸化位点308蛋白表达明显高于pH值6.4培养液( P<0.05);与pH值6.8培养液相比,pH值7.0、7.4~7.8培养液培养细胞中Akt磷酸化位点473蛋白表达均明显升高( P<0.05);与pH值7.6培养液相比,pH值7.0~7.4、7.8培养液培养细胞中Akt磷酸化位点473蛋白表达均明显降低( P<0.05);与pH值7.8培养液相比,pH值7.0~7.6培养液培养细胞中Akt磷酸化位点308蛋白表达均明显升高( P<0.05)。   结论   pH值可调控HDMEC形成毛细血管的管腔直径,该调控作用与Akt的激活密切相关;7.2~7.6为构建组织工程毛细血管的适宜pH值。

     

  • 参考文献(22)

    [1] NovoselEC,KleinhansC,KlugerPJ.Vascularization is the key challenge in tissue engineering[J].Adv Drug Deliv Rev,2011,63(4/5):300-311.DOI: 10.1016/j.addr.2011.03.004.
    [2] 魏亚婷,吴军.创面修复中的皮肤组织再生研究进展[J].中华烧伤杂志,2021,37(7):670-674.DOI: 10.3760/cma.j.cn501120-20200604-00296.
    [3] FangS,EllmanDG,AndersenDC.Review: tissue engineering of small-diameter vascular grafts and their in vivo evaluation in large animals and humans[J].Cells,2021,10(3):713.DOI: 10.3390/cells10030713.
    [4] WeekesA,BartnikowskiN,PintoN,et al.Biofabrication of small diameter tissue-engineered vascular grafts[J].Acta Biomater,2022,138:92-111.DOI: 10.1016/j.actbio.2021.11.012.
    [5] TuckerWD,AroraY,K.AnatomyMahajan, vesselsblood[M]. Treasure Island(FL):StatPearls Publishing,2022.
    [6] MunissoMC,YamaokaT.Circulating endothelial progenitor cells in small-diameter artificial blood vessel[J].J Artif Organs,2020,23(1):6-13.DOI: 10.1007/s10047-019-01114-6.
    [7] HuangWL,TungSY,TsengCS,et al.The combination of blood flow velocity and vascular diameter: the arterial flow index is a better parameter in the evaluation of arteriogenic erectile dysfunction[J]. European Urology,2021,79:S653-S654. DOI: 10.1016/S0302-2838(21)00858-7.
    [8] ShahinH,ElmasryM,SteinvallI,et al.Vascularization is the next challenge for skin tissue engineering as a solution for burn management[J/OL].Burns Trauma,2020,8:tkaa022[2022-09-30].https://pubmed.ncbi.nlm.nih.gov/32766342/.DOI: 10.1093/burnst/tkaa022.
    [9] BoykinJVJr,HokeGD,DriscollCR,et al.High-dose folic acid and its effect on early stage diabetic foot ulcer wound healing[J].Wound Repair Regen,2020,28(4):517-525.DOI: 10.1111/wrr.12804.
    [10] GerweckLE,SeetharamanK.Cellular pH gradient in tumor versus normal tissue: potential exploitation for the treatment of cancer[J].Cancer Res,1996,56(6):1194-1198.
    [11] BaiY,ZhaoJ,WangS,et al.Carbon dots with absorption red-shifting for two-photon fluorescence imaging of tumor tissue pH and synergistic phototherapy[J].ACS Appl Mater Interfaces,2021,13(30):35365-35375.DOI: 10.1021/acsami.1c08076.
    [12] 肖仕初,郑勇军.组织工程皮肤现状与挑战[J].中华烧伤杂志,2020,36(3):166-170.DOI: 10.3760/cma.j.cn501120-20191202-00449.
    [13] RecktenwaldSM,GraesselK,MaurerFM,et al.Red blood cell shape transitions and dynamics in time-dependent capillary flows[J].Biophys J,2022,121(1):23-36.DOI: 10.1016/j.bpj.2021.12.009.
    [14] SchulzE,MünzelT.Lumen size matters: role of protein disulfide isomerase A1 in vascular remodeling[J].Hypertension,2016,67(3):488-489.DOI: 10.1161/HYPERTENSIONAHA.115.06296.
    [15] MaX,HeZ,LiL,et al.Development and in vivo validation of tissue-engineered, small-diameter vascular grafts from decellularized aortae of fetal pigs and canine vascular endothelial cells[J].J Cardiothorac Surg,2017,12(1):101.DOI: 10.1186/s13019-017-0661-x.
    [16] WertheimerS,SharabiM,ShelahO,et al.Bio-composites reinforced with unique coral collagen fibers: towards biomimetic-based small diameter vascular grafts[J].J Mech Behav Biomed Mater,2021,119:104526.DOI: 10.1016/j.jmbbm.2021.104526.
    [17] FlauraudV,MastrangeliM,BernasconiGD,et al.Nanoscale topographical control of capillary assembly of nanoparticles[J].Nat Nanotechnol,2017,12(1):73-80.DOI: 10.1038/nnano.2016.179.
    [18] KharaziAZ,AtariM,VatankhahE,et al. A nanofibrous bilayered scaffold for tissue engineering of small‐diameter blood vessels[J]. Polymers for Advanced Technologies,2018,29(12): 2849-3185.DOI: 10.1002/pat.4437.
    [19] GeelhoedWJ,van der BogtKEA,RothuizenTC,et al.A novel method for engineering autologous non-thrombogenic in situ tissue-engineered blood vessels for arteriovenous grafting[J].Biomaterials,2020,229:119577.DOI: 10.1016/j.biomaterials.2019.119577.
    [20] SmithGA,HowellGJ,PhillipsC,et al.Extracellular and luminal pH regulation by vacuolar H+-ATPase isoform expression and targeting to the plasma membrane and endosomes[J].J Biol Chem,2016,291(16):8500-8515.DOI: 10.1074/jbc.M116.723395.
    [21] YERC.The relationship of pH of the granulation tissue and the take of the skin graft[J].Plast Reconstr Surg (1946),1957,19(3):213-217.DOI: 10.1097/00006534-195703000-00004.
    [22] QuadeBN,ParkerMD,OcchipintiR.The therapeutic importance of acid-base balance[J].Biochem Pharmacol,2021,183:114278.DOI: 10.1016/j.bcp.2020.114278.
  • 1  8种pH值培养液另培养36 h人真皮微血管内皮细胞胞质pH值的相对荧光值比较(样本数为3, x ¯ ± s

    注:先于相应pH值培养液中进行24 h适应性培养,再进行后续培养检测;与pH值6.4培养液相比,aP<0.05;与pH值6.6培养液相比,bP<0.05;与pH值6.8培养液相比,cP<0.05;与pH值7.0培养液相比,dP<0.05;与pH值7.2培养液相比,eP<0.05;与pH值7.4培养液相比,fP<0.05

    2  8种pH值培养液培养人真皮微血管内皮细胞去掉播种塞后各时间点细胞迁移剩余面积(黄色虚线标记区域) 5-氯甲基荧光素二乙酸酯×10。2A、2B、2C、2D、2E、2F、2G、2H与2I、2J、2K、2L、2M、2N、2O、2P和2Q、2R、2S、2T、2U、2V、2W、2X.分别为pH值6.4、6.6、6.8、7.0、7.2、7.4、7.6、7.8培养液培养细胞去掉播种塞后0(即刻)、24、48 h,图2A~2H细胞迁移剩余面积相近,图2M、2N、2O细胞迁移剩余面积明显较图2I~2L及2P小,图2U、2V、2W细胞迁移剩余面积明显较图2Q~2T及2X小,其中图2W细胞迁移剩余面积最小

    注:先于相应pH值培养液中进行24 h适应性培养,再进行后续培养检测

    3  8种pH值培养液另培养48 h人真皮微血管内皮细胞在Matrigel基质胶内成管(黄色箭头指示)情况 倒置相差显微镜×100。3A、3B、3C、3D、3E、3F、3G、3H.分别为pH值6.4、6.6、6.8、7.0、7.2、7.4、7.6、7.8培养液培养细胞,图3A、3B、3C、3D管腔直径较短,图3E、3F、3G、3H管腔直径较长,其中图3G管腔直径最长

    注:先于相应pH值培养液中进行24 h适应性培养,再进行后续培养检测

    4  8种pH值培养液另培养48 h人真皮微血管内皮细胞成管的管腔直径比较(样本数为3, x ¯ ± s

    注:先于相应pH值培养液中进行24 h适应性培养,再进行后续培养检测;与pH值6.4培养液相比,aP<0.05;与pH值6.6培养液相比,bP<0.05;与pH值6.8培养液相比,cP<0.05;与pH值7.0培养液相比,dP<0.05;与pH值7.6培养液相比,eP<0.05

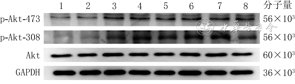
    5  蛋白质印迹法检测的8种pH值培养液另培养48 h人真皮微血管内皮细胞Akt磷酸化位点蛋白表达

    注:先于相应pH值培养液中进行24 h适应性培养,再进行后续培养检测;Akt为蛋白激酶B,p-Akt-473、p-Akt-308分别为Akt磷酸化位点473、308,GAPDH为3-磷酸甘油醛脱氢酶;条带上方1、2、3、4、5、6、7、8分别指示pH值6.4、6.6、6.8、7.0、7.2、7.4、7.6、7.8培养液

    表1  8种pH值培养液另培养各时间点人真皮微血管内皮细胞增殖活性比较( x ¯ ± s

    pH值 样本数 1.5 d 2.5 d 3.5 d 4.5 d 5.5 d
    6.4 3 0.489±0.006 0.506±0.016 0.528±0.021 0.542±0.012 0.561±0.016
    6.6 3 0.492±0.008 0.510±0.018 0.541±0.019 0.568±0.012 0.573±0.014
    6.8 3 0.497±0.005 0.518±0.014 0.557±0.012 0.583±0.014 a 0.627±0.020 a
    7.0 3 0.489±0.004 0.527±0.016 0.601±0.014 abc 0.652±0.016 abc 0.678±0.019 abc
    7.2 3 0.495±0.004 0.543±0.020 0.638±0.012 abc 0.692±0.018 abc 0.768±0.014 abcd
    7.4 3 0.496±0.008 0.556±0.016 0.655±0.016 abc 0.709±0.010 abc 0.811±0.013 abcd
    7.6 3 0.486±0.003 0.562±0.014 abc 0.682±0.016 abcdef 0.725±0.019 abcd 0.832±0.016 abcdef
    7.8 3 0.496±0.009 0.532±0.018 0.626±0.016 abcg 0.683±0.014 abc 0.707±0.020 abcef
    注:先于相应pH值培养液中适应性培养24 h,再进行后续培养检测;处理因素主效应, F=152.35, P<0.001;时间因素主效应, F=683.95, P<0.001;两者交互作用, F=21.82, P<0.001;与pH值6.4培养液相比, a P<0.05;与pH值6.6培养液相比, b P<0.05;与pH值6.8培养液相比, c P<0.05;与pH值7.0培养液相比, d P<0.05;与pH值7.2培养液相比, e P<0.05;与pH值7.4培养液相比, f P<0.05;与pH值7.6培养液相比, g P<0.05
    下载: 导出CSV

    表2  8种pH值培养液培养人真皮微血管内皮细胞去掉播种塞后各时间点细胞迁移剩余面积比较(mm 2 x ¯ ± s

    pH值 样本数 0 h(即刻) 24 h 48 h
    6.4 3 2.636±0.023 2.240±0.064 1.491±0.052
    6.6 3 2.608±0.028 1.900±0.073 a 1.491±0.062
    6.8 3 2.608±0.030 1.756±0.068 a 1.246±0.058
    7.0 3 2.608±0.027 1.131±0.072 abc 0.814±0.042 ab
    7.2 3 2.637±0.025 0.970±0.068 abc 0.262±0.041 abcd
    7.4 3 2.608±0.028 0.894±0.063 abc 0.188±0.040 abcd
    7.6 3 2.608±0.030 0.684±0.050 abc 0.045±0.011 abcef
    7.8 3 2.637±0.030 1.305±0.054 a 0.821±0.023 abefg
    注:先于相应pH值培养液中进行24 h适应性培养,再进行后续培养检测;处理因素主效应, F=74.60, P<0.001;时间因素主效应, F=2 019.01, P<0.001;两者交互作用, F=24.28, P<0.001;与pH值6.4培养液相比, a P<0.05;与pH值6.6培养液相比, b P<0.05;与pH值6.8培养液相比, c P<0.05;与pH值7.0培养液相比, d P<0.05;与pH值7.2培养液相比, e P<0.05;与pH值7.4培养液相比, f P<0.05;与pH值7.6培养液相比, g P<0.05
    下载: 导出CSV

    表3  8种pH值培养液另培养48 h人真皮微血管内皮细胞蛋白激酶B磷酸化位点蛋白表达比较( x ¯ ± s

    pH值 样本数 位点473 位点308
    6.4 3 0.433±0.042 0.297±0.055
    6.6 3 0.498±0.033 0.467±0.018 a
    6.8 3 0.752±0.059 ab 0.826±0.047 ab
    7.0 3 0.914±0.036 abc 0.938±0.033 ab
    7.2 3 0.826±0.048 ab 0.902±0.028 ab
    7.4 3 0.890±0.035 abc 0.935±0.021 ab
    7.6 3 1.041±0.029 abcdef 0.901±0.037 ab
    7.8 3 0.860±0.033 abcg 0.760±0.032 abdefg
    注:先于相应pH值培养液中进行24 h适应性培养,再进行后续培养检测;与pH值6.4培养液相比, a P<0.05;与pH值6.6培养液相比, b P<0.05;与pH值6.8培养液相比, c P<0.05;与pH值7.0培养液相比, d P<0.05;与pH值7.2培养液相比, e P<0.05;与pH值7.4培养液相比, f P<0.05;与pH值7.6培养液相比, g P<0.05
    下载: 导出CSV
  • 加载中
图(6) / 表(3)
计量
  • 文章访问数:  1027
  • HTML全文浏览量:  577
  • PDF下载量:  31
  • 被引次数: 0
出版历程
  • 收稿日期:  2022-09-30

目录

    /

    返回文章
    返回