优先发表
优先发表栏目展示本刊经同行评议确定正式录用的文章,这些文章目前处在编校过程,尚未确定卷期及页码,但可以根据DOI进行引用。
显示方式:
, 最新更新时间 , doi: 10.3760/cma.j.cn501225-20251125-00487
摘要:
糖尿病创面因高糖微环境所致慢性炎症、血管新生障碍及生长因子表达异常等因素,导致愈合过程受阻。Masquelet诱导膜技术(以下简称诱导膜技术)通过在创面植入骨水泥从而在局部形成一个由多种细胞成分组成的富含生长因子及微血管的生物活性膜。该膜主要通过重塑炎症微环境、促进功能性血管新生、产生内源性生长因子3种途径促进创面愈合。该文对诱导膜技术改善糖尿病创面愈合的机制进行了简要阐述,并对其在糖尿病创面中的临床应用进行了梳理,以期为临床治疗糖尿病难愈创面提供新的思路和有效手段。未来研究需聚焦应用诱导膜技术治疗的关键分子通路及新型膜诱导材料的开发,为糖尿病创面治疗提供新的策略。
糖尿病创面因高糖微环境所致慢性炎症、血管新生障碍及生长因子表达异常等因素,导致愈合过程受阻。Masquelet诱导膜技术(以下简称诱导膜技术)通过在创面植入骨水泥从而在局部形成一个由多种细胞成分组成的富含生长因子及微血管的生物活性膜。该膜主要通过重塑炎症微环境、促进功能性血管新生、产生内源性生长因子3种途径促进创面愈合。该文对诱导膜技术改善糖尿病创面愈合的机制进行了简要阐述,并对其在糖尿病创面中的临床应用进行了梳理,以期为临床治疗糖尿病难愈创面提供新的思路和有效手段。未来研究需聚焦应用诱导膜技术治疗的关键分子通路及新型膜诱导材料的开发,为糖尿病创面治疗提供新的策略。
, 最新更新时间 , doi: 10.3760/cma.j.cn501225-20241122-00457
摘要:
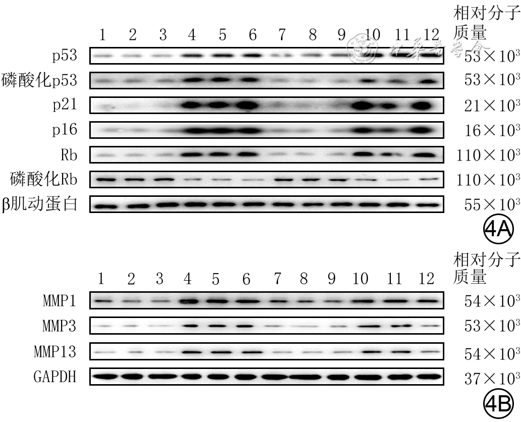
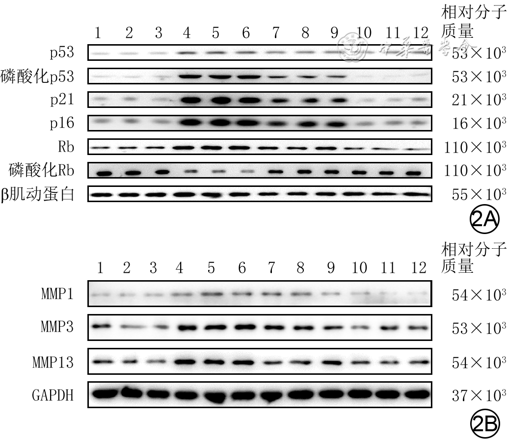
目的 探讨Wnt9a在慢性创面愈合过程中的表达变化、作用及其可能机制。 方法 该研究为成组设计实验研究。收集8例糖尿病足溃疡患者(男5例、女3例,年龄45~72岁)的慢性创面组织及周围正常皮肤组织,采用酶联免疫吸附测定(ELISA)法和免疫荧光染法检测Wnt9a的表达。取8只6~8周龄C57BL/6雄性小鼠,在背部制作1个全层皮肤缺损创面,并采用随机数字表法(分组方法下同)分为对照组(不进行其他处理)和慢性创面组(在创缘皮下注射M1型巨噬细胞来源外泌体以构建慢性创面模型),每组4只。于造模后7 d,采用ELISA法检测2组小鼠创面组织中Wnt9a的表达。另取16只6~8周龄C57BL/6雄性小鼠,同前建立慢性创面模型,分为空载对照组和Wnt9a过表达组(每组8只),分别于创缘皮下注射增强型绿色荧光蛋白空载腺病毒(AV-eGFP)、Wnt9a基因增强型绿色荧光蛋白重组腺病毒(AV-Wnt9a-eGFP),于造模后3、7、14 d计算残余创面面积百分比,于造模后14 d采用蛋白质印迹法检测创面组织中Ⅰ型和Ⅲ型胶原蛋白的表达。取收集的人正常皮肤组织,提取成纤维细胞(Fb),分为分别感染AV-eGFP、AV-Wnt9a-eGFP的空载对照组、Wnt9a过表达组,采用蛋白质印迹法检测感染72 h后的Wnt9a的蛋白表达,采用划痕试验检测划痕后48 h细胞迁移率。另取人正常皮肤Fb,分为分别转染相应小干扰RNA(siRNA)的Wnt9a特异性siRNA(siRNA-Wnt9a)组、阴性对照siRNA(siRNA-NC)组,采用划痕试验检测划痕后48 h细胞迁移率。另取人正常皮肤Fb,分为同前处理的空载对照组和Wnt9a过表达组,感染72 h后,行转录组测序,筛选差异表达基因(DEG)并对DEG进行基因本体论(GO)和京都基因与基因组百科全书富集分析。细胞实验样本数均为3。 结果 ELISA法和免疫荧光法结果显示,人慢性创面组织中Wnt9a表达水平显著低于正常皮肤组织(t值分别为7.68、10.25,P<0.05)。造模后7 d,慢性创面组小鼠创面组织中Wnt9a的表达水平显著低于对照组(t=5.12,P<0.05)。Wnt9a过表达组小鼠造模后3、7、14 d残余创面面积百分比均显著低于空载对照组(t值分别为3.90、6.62、5.73,P<0.05)。造模后14 d,Wnt9a过表达组小鼠创面组织中Ⅰ型和Ⅲ型胶原蛋白的表达水平均显著低于空载对照组(t值分别为6.25、5.48,P<0.05)。Wnt9a过表达组Fb中Wnt9a蛋白表达水平显著高于空载对照组(t=6.96,P<0.05)。划痕后48 h,Wnt9a过表达组细胞迁移率为(71.6±6.4)%,显著高于空载对照组的(38.5±2.4)%(t=8.31,P<0.05)。siRNA-Wnt9a组细胞迁移率为(15±3)%,显著低于siRNA-NC组的(32±4)%(t=5.93,P<0.05)。感染72 h后,与空载对照组相比,Wnt9a过表达组Fb中显著下调的DEG包括多个胶原蛋白家族基因,Wnt9a过表达组Fb中DEG显著富集于非经典Wnt信号通路。 结论 Wnt9a在人和小鼠慢性创面组织中表达下调;过表达Wnt9a可能通过非经典Wnt信号通路促进Fb迁移和胶原重塑,从而加速慢性创面愈合。
, 最新更新时间 , doi: 10.3760/cma.j.cn501225-20250328-00148
摘要:
目的 探讨“三源四线法”在小腿前外侧穿支皮瓣设计与切取中的临床应用效果。 方法 该研究为回顾性病例系列研究。2023年8月—2024年7月,苏州瑞华骨科医院手外科收治24例、足踝外科收治6例符合入选标准的手、足创面患者,其中男22例、女8例,年龄18~58岁。清创后单个创面面积为2.0 cm×1.5 cm~15.0 cm×4.5 cm。采用“三源四线法”,将腓骨小头与外踝尖的连线记为C线,即腓骨的体表标志线;C线向前侧平移1.5 cm记为B线,即腓浅动脉穿支皮瓣的轴心线;C线向前侧平移3.0 cm记为A线,即胫前动脉穿支皮瓣的轴心线;C线向后侧平移1.5 cm记为D线,即腓动脉穿支皮瓣的轴心线。另使用彩色多普勒超声探测仪分别沿着A、B、D线探测3种来源的穿支,以此设计和切取小腿前外侧穿支皮瓣修复创面。共切取皮瓣35块,单块皮瓣切取面积为2.5 cm×2.0 cm~16.0 cm×5.0 cm。将供区创面均直接拉拢缝合。术中记录实际使用穿支的总数量,不同来源穿支的数量、口径及血管蒂长度,穿支入皮点至其相应轴心线的垂直距离。术后观察皮瓣成活情况。随访记录皮瓣色泽、质地和外形情况及供区瘢痕情况。末次随访时,使用皮瓣综合评价量表评定皮瓣修复效果,并计算皮瓣修复效果的优良率。 结果 术中实际使用穿支38条。其中,6条穿支来源于胫前动脉,口径平均0.47 mm;血管蒂长度平均4.33 cm;穿支入皮点至A线的垂直距离平均0.48 cm。20条穿支来源于腓浅动脉,口径平均0.51 mm;血管蒂长度平均5.25 cm;穿支入皮点至B线的垂直距离平均0.54 cm。12条穿支来源于腓动脉,口径平均0.72 mm;血管蒂长度平均4.13 cm;穿支入皮点至D线的垂直距离平均0.43 cm。术后所有皮瓣顺利成活。术后随访6~15个月时,皮瓣色泽良好、质地柔软、外形无明显臃肿,供区仅遗留线性瘢痕。末次随访时,皮瓣综合评价量表评分为82~94分,皮瓣修复效果的优良率为100%(35/35)。 结论 “三源四线法”具有操作简便、定位准确等优势,有助于小腿前外侧穿支皮瓣术前灵活设计、术中安全切取,具有较高的临床应用价值。
, 最新更新时间 , doi: 10.3760/cma.j.cn501225-20251129-00494
摘要:
目的 比较Wagner分级系统和部位、缺血、神经病变、细菌感染、面积、深度(SINBAD)分级系统以及伤口、缺血和足部感染(WIfI)分级系统对糖尿病足溃疡(DFU)患者短期创面未愈合与截肢的预测效能。 方法 该研究为回顾性队列研究。2023年1月—2024年12月,华中科技大学同济医学院附属武汉中心医院糖尿病足专病中心收治400例符合入选标准的DFU患者,均在入院后48 h内完成Wagner分级、SINBAD评分及WIfI分期评估。患者中男232例、女168例,年龄44~83岁。按照首次入院3个月时创面是否愈合,将患者分为愈合组(194例)和未愈合组(206例);另按照患者截肢情况,将行大截肢、小截肢患者纳入截肢组(255例),其余患者纳入未截肢组(145例);统计各组患者的Wagner分级、SINBAD评分、WIfI分期。另比较不同Wagner分级、SINBAD评分、WIfI分期患者的截肢情况、首次入院3个月时创面未愈合情况。采用Spearman相关性分析评估Wagner分级、SINBAD评分、WIfI分期与DFU患者创面愈合时间的相关性。绘制受试者操作特征曲线评估各分级系统对DFU患者首次入院3个月时创面未愈合和截肢的预测效能,并采用DeLong检验比较各分级系统的受试者操作特征曲线下面积(AUROC)差异。 结果 未愈合组、截肢组患者的Wagner分级、SINBAD评分、WIfI分期分别明显高于愈合组、未截肢组(t值分别为8.25、19.78、9.87,14.05、11.73、16.45,P<0.05)。不同Wagner分级、SINBAD评分、WIfI分期患者组内截肢患者数、首次入院3个月时创面未愈合患者数比较,差异均有统计学意义(χ2值分别为150.35、73.97,133.84、221.10,187.63、83.37,P<0.05)。Wagner分级、SINBAD评分及WIfI分期均与DFU患者创面愈合时间呈明显正相关(rs分别为0.52、0.70、0.52,P<0.05)。以DFU患者首次入院3个月时创面未愈合为预后观察结局,SINBAD分级系统的AUROC最高,为0.96(95%CI为0.94~0.98),最大约登指数为0.80;Wagner分级系统的AUROC为0.66(95%CI为0.61~0.72),最大约登指数为0.28;WIfI分级系统的AUROC为0.69(95%CI为0.64~0.74),最大约登指数为0.33。DeLong检验显示,SINBAD分级系统对DFU患者短期创面未愈合的预测效能明显优于Wagner分级系统和WIfI分级系统(Z值分别为12.52、12.97,P值均<0.05)。以DFU患者截肢为预后观察结局,WIfI分级系统的AUROC最高,为0.89(95%CI为0.85~0.93),最大约登指数为0.75;Wagner分级系统的AUROC为0.87(95%CI为0.83~0.91),最大约登指数为0.55;SINBAD分级系统的AUROC为0.80(95%CI为0.76~0.84),最大约登指数为0.43。DeLong检验显示,WIfI分级系统和Wagner分级系统对DFU患者截肢的预测效能均明显优于SINBAD评分(Z值分别为3.76、2.96,P<0.05)。 结论 Wagner分级系统、SINBAD分级系统及WIfI分级系统能有效预测DFU患者的短期创面未愈合和截肢风险。其中SINBAD分级系统在预测短期创面未愈合方面表现最优,而WIfI分级系统在预测截肢方面更具优势,Wagner分级系统虽然在短期创面未愈合方面的预测效能较差,但对截肢具有较好的预测效能。临床实践中可根据评估重点,联合应用不同分级系统。
, 最新更新时间 , doi: 10.3760/cma.j.cn501225-20250606-00257
摘要:
目的 分析海南省糖尿病相关慢性难愈性创面成年住院患者的流行病学特征。 方法 该研究为回顾性队列研究。2019年7月—2024年7月,海南省3家医院收治1 372例符合入选标准的糖尿病相关慢性难愈性创面成年住院患者,其中海南医科大学第一附属医院收治951例、海南医科大学第二附属医院收治287例、海南省中德骨科医院收治134例。患者年龄18~96岁,其中男889例、女483例。收集患者以下病历资料,包括年龄、性别、职业,糖尿病分型、病程,合并基础疾病,创面形成原因、部位、类型、数量,创面分泌物标本病原微生物培养结果,创面治疗方式及转归情况,以及不同类型创面患者的住院时间、住院费用。 结果 患者以≥60岁、男性、农业从业者为主。98.91%(1 357/1 372)患者为2型糖尿病患者,糖尿病病程为10(5,18)年。糖尿病患者常合并高血压(678例)、动脉性疾病(300例)和脑卒中(220例)等。创面形成原因以感染为主;创面类型以糖尿病足溃疡(DFU)为主(809例),其次为其他创面(232例)、压力性损伤(187例)、创伤性溃疡(144例);创面主要位于足部及小腿,且主要为单发创面。540例患者创面分泌物标本病原微生物培养结果为阳性,共检出病原微生物606株,以革兰阴性菌(324株)为主,主要病原微生物为金黄色葡萄球菌(125株)、铜绿假单胞菌(71株)和大肠埃希菌(71株);真菌检出率[6.11%(37/1 372)]较高。治疗方式以单纯清创、清创+负压封闭引流为主。经治疗后,84.62%(1 161/1 372)患者创面好转,11.30%(155/1 372)患者创面愈合,3.28%(45/1 372)患者创面加重,0.80%(11/1 372)患者死亡。DFU患者住院时间[18(10,29)d]及住院费用[3.9(2.1,6.0)万元]均显著高于压力性损伤[14(7,21)d、2.8(1.5,4.2)万元]、创伤性溃疡[12(6,18)d、2.3(1.2,3.5)万元]及其他创面[16(8,25)d、3.1(1.8,5.0)万元],(P<0.05)。 结论 海南省糖尿病相关慢性难愈性创面成年住院患者以老年男性农业从业者为主,通常合并基础疾病,创面检出病原微生物以革兰阴性菌为主,真菌检出率较高。DFU治疗负担最重,DFU患者住院时间及住院费用均显著高于其他创面患者。
, 最新更新时间 , doi: 10.3760/cma.j.cn501225-20241028-00417
摘要:
目的 探讨胫骨横向骨搬移术治疗糖尿病足溃疡的中长期临床疗效。 方法 该研究为回顾性队列研究。2015年1月—2022年12月,山西省人民医院骨科收治87例符合入选标准的糖尿病足溃疡患者,采用胫骨横向骨搬移术治疗。因患者截肢、死亡或失访等,术后3个月、6个月、1年、2年、3年病例数分别为85、82、77、73、63例。统计术前和术后1个月、3个月、6个月、1年、2年、3年,患者的踝肱指数、密歇根神经病变筛查量表(MNSI)体格检查评分、10 g尼龙丝试验结果、视觉模拟评分法(VAS)评分、足趾血氧饱和度,统计术后3年内并发症发生情况、创面愈合、截肢情况。 结果 术后1个月、3个月、6个月、1年、2年、3年,患者踝肱指数分别为0.70(0.65,0.76)、0.93(0.83,1.01)、0.96(0.86,1.06)、0.93(0.88,1.01)、0.91(0.86,0.97)、0.90(0.81,0.97),均明显高于术前的0.55()0.47,0.62),P<0.05。术后1个月、3个月、6个月、1年、2年、3年,患者10 g尼龙丝试验点数均明显多于术前(P<0.05),VAS评分和MNSI体格检查评分均明显低于术前(P<0.05),足趾血氧饱和度均明显高于术前(P<0.05)。术后3年内,3例患者骨搬移处骨折,4例患者钉道及切口感染,经保守治疗均康复;80例患者创面愈合,80例患者保肢成功。 结论 胫骨横向骨搬移术治疗糖尿病足溃疡患者能够明显改善下肢血供和足部微循环,减轻疼痛程度,改善神经传导功能及足部感觉,术后并发症少、创面愈合及保肢疗效显著,在术后3年内可保持较好整体疗效。
, 最新更新时间 , doi: 10.3760/cma.j.cn501225-20240520-00188
摘要:
目的 探讨“新型三纵五横法”在股前外侧嵌合皮瓣穿支定位中的临床应用效果。 方法 该研究为回顾性病例系列研究。2021年6月—2023年6月,遵义医科大学附属医院收治15例符合入选标准的肢体毁损性创面患者,创面位于上肢者5例、下肢者10例,清创后创面面积为12 cm×5 cm~22 cm×7 cm。采用“新型三纵五横法”,以髂前上棘为P点,髌骨外上缘为A点、股骨外上髁为B点,分别引出1条直线称为PA、PB线,连接P点与A点和B点的中点(C点),得到PC线;从PA线中点引一垂线为E线,将E线向近端平移5 cm为D线,向远端分别平移5、10、15 cm为F、G、H线;PA线和PB线分别与D、E、F、G、H线相交,形成Ⅰ、Ⅱ、Ⅲ、Ⅳ区,以此区域为皮瓣穿支位置设计并切取股前外侧嵌合皮瓣修复创面。皮瓣切取面积为13.0 cm×6.0 cm~23.0 cm×8.0 cm。将供区创面直接缝合。术中记录观察到的各区域内穿支数量、来源及穿支入皮点至PC线的垂直距离。术后观察皮瓣存活情况。随访时观察皮瓣色泽、质地、外形及并发症情况。 结果 术中共观察到75条穿支,其中Ⅰ区内18条穿支(3条来源于股前外侧动脉斜支、15条来源于股前外侧动脉降支)、Ⅱ区17条穿支(均来源于股前外侧动脉降支)、Ⅲ区21条穿支(均来源于股前外侧动脉降支),Ⅳ区19条穿支(12条来源于股前外侧动脉降支、7条来源于大腿下段周边血管)。24条穿支入皮点位于PC线上,51条穿支入皮点位于PC线旁,其至PC线的垂直距离均<1.0 cm。术后1例患者皮瓣远端出现淤紫,2例患者皮瓣边缘少量渗液,均经换药后愈合;其余患者皮瓣顺利成活。术后6~40个月随访时,皮瓣色泽、质地、外形均良好,无并发症发生;供区瘢痕增生不明显,无肌疝发生。 结论 “新型三纵五横法”可有效定位股前外侧嵌合皮瓣穿支,方法简单、可靠,基于该方法设计与切取的股前外侧嵌合皮瓣修复肢体毁损性创面的临床效果良好,值得推广。
, 最新更新时间 , doi: 10.3760/cma.j.cn501225-20251014-00428
摘要:
该文以近年来麻醉学、疼痛学专业在应对急性、慢性疼痛方面的进步为基础,对烧伤临床中的疼痛与镇痛问题进行了阐述,并提出了系统性的建议。进一步地介绍了烧伤疼痛中的神经病理性痛相关知识、深度镇痛镇静的风险和策略、非甾体类消炎镇痛药和阿片类药物各自使用的优点和不足。特别强调了老年和小儿患者疼痛管理的特殊性。对于“无痛烧伤科”建设这个造福患者并有利学科建设的重要问题,提出了比较具体的实施方案。
该文以近年来麻醉学、疼痛学专业在应对急性、慢性疼痛方面的进步为基础,对烧伤临床中的疼痛与镇痛问题进行了阐述,并提出了系统性的建议。进一步地介绍了烧伤疼痛中的神经病理性痛相关知识、深度镇痛镇静的风险和策略、非甾体类消炎镇痛药和阿片类药物各自使用的优点和不足。特别强调了老年和小儿患者疼痛管理的特殊性。对于“无痛烧伤科”建设这个造福患者并有利学科建设的重要问题,提出了比较具体的实施方案。
, 最新更新时间 , doi: 10.3760/cma.j.cn501225-20250825-00365
摘要:
目的 探讨基于聚乙烯醇-硼酸(PVA-BA)的功能化水凝胶对人皮肤成纤维细胞(HSF)和HaCaT细胞的作用,为后续该水凝胶系统应用于创面修复的体内研究及临床转化提供实验依据。 方法 该研究为成组设计与析因设计实验研究。基于PVA-BA,采用冻融循环法制备PVA-BA水凝胶、负载终物质的量浓度为5 μmol/L SB431542的PVA-BA-S水凝胶、负载终物质的量浓度为1 μmol/L BML-284的PVA-BA-B水凝胶,分别采用傅里叶变换红外光谱仪、X射线衍射仪对前述水凝胶的特征吸收峰、衍射峰进行表征。利用液相色谱仪检测PVA-BA-S水凝胶和PVA-BA-B水凝胶各自在pH值为5.5和7.4的磷酸盐缓冲液(PBS)中的释放情况,计算浸泡48 h时的药物累计释放率。采用随机数字表法将HSF分为常规培养的对照组、经重组人转化生长因子-β1(TGF-β1)蛋白处理24 h后常规培养的单纯激活组,以及经重组人TGF-β1蛋白处理24 h后分别用PVA-BA水凝胶浸提液、PVA-BA-S水凝胶浸提液培养的PVA-BA组、PVA-BA-S组。培养24 h后,采用实时荧光定量反转录PCR法检测HSF中TGF-β通路相关因子α-平滑肌肌动蛋白(α-SMA)、TGF-β、Smad2、Smad3、Ⅰ型胶原蛋白(COLⅠ)、COLⅢ的mRNA表达水平,采用免疫荧光法检测HSF中COLⅠ、COLⅢ的蛋白表达水平。采用随机数字表法将HaCaT细胞分为常规培养的对照组、用PVA-BA水凝胶浸提液培养PVA-BA组及用PVA-BA-B水凝胶浸提液培养的PVA-BA-B组,培养24 h后,采用实时荧光定量反转录PCR法检测细胞中Wnt通路相关因子β-连环蛋白、基质金属蛋白酶9(MMP-9)、E-钙黏蛋白、N-钙黏蛋白的mRNA表达水平,采用免疫荧光法检测细胞中角蛋白5的蛋白表达水平。除表征外,以上实验样本数均为3。 结果 PVA-BA水凝胶、PVA-BA-S水凝胶、PVA-BA-B水凝胶的傅里叶变换红外光谱均在波数1 100、1 450 cm-1处表现出B-O-C中C-O和B-O的伸缩振动峰,X射线衍射图谱在20°左右均形成一个尖锐的衍射峰。浸泡48 h时,PVA-BA-S水凝胶在pH值为5.5的PBS中的药物累计释放率为(70.9±2.3)%,显著高于在pH值为7.4的PBS中的(60.0±2.2)%(t=6.02,P<0.05);PVA-BA-B水凝胶在pH值为5.5的PBS中的药物累计释放率为(83.9±2.2)%,显著高于在pH值为7.4的PBS中的(65.2±1.7)%(t=11.63,P<0.05)。培养24 h后,PVA-BA-S组HSF中TGF-β、COLⅠ、COLⅢ、Smad3的mRNA表达水平均显著高于对照组(P<0.05),TGF-β、COLⅠ、COLⅢ、α-SMA、Smad2、Smad3的mRNA表达水平均显著低于单纯激活组及PVA-BA组(P<0.05);PVA-BA-S组HSF中COLⅠ、COLⅢ的蛋白表达水平均显著低于单纯激活组和PVA-BA组(P<0.05)。培养24 h后,与对照组与PVA-BA组比较,PVA-BA-B组HaCaT细胞中β-连环蛋白、MMP-9、N-钙黏蛋白的mRNA表达水平均显著升高(P<0.05),E-钙黏蛋白的mRNA表达水平显著降低(P值均<0.05);PVA-BA-B组HaCaT细胞中角蛋白5的蛋白表达水平显著高于对照组与PVA-BA组(P值均<0.05)。 结论 基于PVA-BA的PVA-BA-S水凝胶和PVA-BA-B水凝胶可分别通过调控TGF-β通路和Wnt通路有效抑制活化HSF的纤维化表型及增强HaCaT细胞迁移能力,为创面功能性愈合提供了一种新型药物递送策略。
, 最新更新时间 , doi: 10.3760/cma.j.cn501225-20241029-00419
摘要:
目的 探讨应用内增压型腓肠内侧动脉穿支皮瓣修复手足部皮肤软组织缺损的效果。 方法 该研究为回顾性病例系列研究。2022年9月—2023年11月,苏州瑞华骨科医院收治12例符合入选标准的手足部皮肤软组织缺损患者,其中男8例、女4例,年龄32~69岁。清创后创面缺损面积为5.5 cm×3.5 cm~13.5 cm×5.5 cm,应用面积为6.0 cm×4.0 cm~14.0 cm×6.0 cm内增压型腓肠内侧动脉穿支皮瓣修复缺损,将供区创面直接拉拢缝合。记录皮瓣切取情况及术后存活情况、血管危象发生情况及供区创面术后愈合情况。随访观察皮瓣外观与质地、供区创面瘢痕及疼痛情况。末次随访时,采用综合评价量表评价皮瓣移植效果,采用英国医学研究会感觉功能评定标准评定皮瓣感觉功能。 结果 皮瓣均顺利切取且术后存活良好,未发生血管危象;供区创面术后均顺利愈合。随访6~15个月显示,皮瓣外观良好且质地优良,供区创面仅遗留线性瘢痕且无瘢痕挛缩及疼痛等不适。末次随访时,皮瓣移植效果评价为优者9例、良者3例,皮瓣感觉功能评定为S1级者1例、S2级者8例、S3级者3例。 结论 应用内增压型腓肠内侧动脉穿支皮瓣修复手足部皮肤软组织缺损,术后供受区外形与功能恢复良好,是该类缺损有效的修复方法之一。
, 最新更新时间 , doi: 10.3760/cma.j.cn501225-20251129-00493
摘要:
目的 探讨应用抗生素骨水泥与负压封闭引流(VSD)联合游离股前外侧穿支嵌合肌皮瓣序贯治疗糖尿病性跟骨骨髓炎创面的效果。 方法 该研究为回顾性病例系列研究。2019年6月—2024年6月,中南大学湘雅医院烧伤整形外科收治12例符合入选标准的糖尿病性跟骨骨髓炎创面患者,其中男7例、女5例,年龄40~65岁,创面为Wagner Ⅲ级者8例、Wagner Ⅳ级者4例。Ⅰ期行清创+抗生素骨水泥临时填充覆盖+VSD治疗,其中清创后创面面积为6 cm×5 cm~18 cm×8 cm,骨缺损体积为1.0 cm×0.8 cm×0.5 cm~1.8 cm×1.5 cm×0.8 cm;Ⅱ期采用游离股前外侧穿支嵌合肌皮瓣修复创面,其中穿支皮瓣面积为10.0 cm×5.0 cm~20.0 cm×10.0 cm,肌瓣面积为3.0 cm×2.5 cm~7.0 cm×6.0 cm。将皮瓣供区创面直接缝合或移植大腿中厚皮修复。记录患者入院时及Ⅰ期治疗后7 d白细胞计数、中性粒细胞、超敏C反应蛋白水平以及创面分泌物标本微生物培养情况,Ⅰ期治疗后7 d创基肉芽组织生长情况。Ⅱ期术后观察皮瓣存活情况及供受区创面愈合情况。随访观察受区皮瓣血运、外观及质地,溃疡及骨髓炎有无复发,供区恢复情况及患肢功能。 结果 Ⅰ期治疗后7 d,患者白细胞计数、中性粒细胞、超敏C反应蛋白水平分别为7.15(6.73,8.70)×109/L、0.65(0.63,0.72)、15.50(12.48,25.50)mg/L,显著低于入院时的12.30(11.28,13.48)×109/L、0.80(0.78,0.83)、73.20(57.25,93.75)mg/L(Z值分别为-2.905、-2.825、-3.059,P值均<0.05)。入院时,患者创面分泌物标本微生物培养结果均为阳性,创周红肿明显;Ⅰ期治疗后7 d,患者创面分泌物标本微生物培养结果均为阴性,创周无明显红肿,创基肉芽组织生长良好。Ⅱ期术后,仅2例患者皮瓣远端小面积表皮缺血坏死,经换药后创面延期愈合,其余患者皮瓣存活良好且受区创面均顺利愈合;所有患者供区创面愈合良好。随访6~18个月显示,皮瓣血运及外观良好,质地柔软;未见溃疡复发,X线检查未见明显骨髓炎复发征象;供区恢复良好且无明显瘢痕增生,患肢均能负重活动。 结论 采用抗生素骨水泥与VSD联合游离股前外侧穿支嵌合肌皮瓣序贯修复糖尿病性跟骨骨髓炎创面,在彻底清除感染病灶的基础上,实现了跟骨深部死腔的有效封闭与软组织覆盖,近期随访效果良好,值得临床推广。



在线阅读
PDF