留言板

尊敬的读者、作者、审稿人, 关于本刊的投稿、审稿、编辑和出版的任何问题, 您可以本页添加留言。我们将尽快给您答复。谢谢您的支持!

姓名
邮箱
手机号码
标题
留言内容
验证码

增强创伤后小鼠巨噬细胞的芳香烃受体表达对炎症因子水平和杀菌能力的影响

旷田垠 殷双琴 代伟宏 罗莉 陈涛 梁星河 王日兴 梁华平 朱俊宇

旷田垠, 殷双琴, 代伟宏, 等. 增强创伤后小鼠巨噬细胞的芳香烃受体表达对炎症因子水平和杀菌能力的影响[J]. 中华烧伤与创面修复杂志, 2023, 39(7): 633-640. DOI: 10.3760/cma.j.cn501225-20230210-00040.
引用本文: 旷田垠, 殷双琴, 代伟宏, 等. 增强创伤后小鼠巨噬细胞的芳香烃受体表达对炎症因子水平和杀菌能力的影响[J]. 中华烧伤与创面修复杂志, 2023, 39(7): 633-640. DOI: 10.3760/cma.j.cn501225-20230210-00040.
Kuang TY,Yin SQ,Dai WH,et al.Effects of enhancing the expression of aryl hydrocarbon receptor in post-traumatic mice macrophages on the inflammatory cytokine level and bactericidal ability[J].Chin J Burns Wounds,2023,39(7):633-640.DOI: 10.3760/cma.j.cn501225-20230210-00040.
Citation: Kuang TY,Yin SQ,Dai WH,et al.Effects of enhancing the expression of aryl hydrocarbon receptor in post-traumatic mice macrophages on the inflammatory cytokine level and bactericidal ability[J].Chin J Burns Wounds,2023,39(7):633-640.DOI: 10.3760/cma.j.cn501225-20230210-00040.

增强创伤后小鼠巨噬细胞的芳香烃受体表达对炎症因子水平和杀菌能力的影响

doi: 10.3760/cma.j.cn501225-20230210-00040
基金项目: 

重庆市自然科学基金面上项目 cstc2021jcyj-msxmX0234

重庆市博士“直通车”科研项目 CSTB2022BSXM-JCX0009

中央引导地方科技发展专项资金 ZY2021HN19

国家级大学生创新创业训练计划 202190035010

详细信息
    通讯作者:

    朱俊宇,Email:zjykent@sina.com

Effects of enhancing the expression of aryl hydrocarbon receptor in post-traumatic mice macrophages on the inflammatory cytokine level and bactericidal ability

Funds: 

General Program of Chongqing Natural Science Foundation cstc2021jcyj-msxmX0234

Doctoral "Fast-service Channel" Research Program of Chongqing CSTB2022BSXM-JCX0009

The Central Government Guides Local Special Funds for Scientific and Technological Development ZY2021HN19

National College Students' Innovation and Entrepreneurship Training Program 202190035010

More Information
  • 摘要:   目的   探讨严重创伤后小鼠腹腔巨噬细胞(PM)中芳香烃受体(AhR)的表达规律并分析增强创伤后PM的AhR表达对炎症因子水平和杀菌能力的影响。   方法   采用实验研究方法。取40只6~8周龄雄性C57BL/6J小鼠(小鼠周龄、性别、品系下同),按随机数字表法(分组方法下同)分为对照组、创伤后2 h组、创伤后6 h组、创伤后12 h组,每组10只。将后3组小鼠构建骨折+失血的严重创伤模型,对照组小鼠不做处理。分别在未创伤和创伤后2、6、12 h时,提取对照组、创伤后2 h组、创伤后6 h组、创伤后12 h组小鼠原代PM(提取细胞下同),分别采用蛋白质印迹法和实时荧光定量反转录PCR法检测AhR的蛋白和mRNA表达,采用转录组测序分析AhR信号通路相关分子的基因表达。取20只小鼠分为对照组、创伤后6 h组,每组10只,提取PM后,采用免疫沉淀法检测AhR泛素化水平。取12只小鼠,分为单纯二甲基亚砜(DMSO)组、创伤后6 h+DMSO组、单纯MG-132组、创伤后6 h+MG-132组,每组3只,并行相应处理后,提取PM,采用蛋白质印迹法检测AhR蛋白的表达。取20只小鼠构建创伤后6 h模型并提取PM,分为空载腺病毒(Ad-NC)组和AhR过表达腺病毒(Ad-AhR)组,部分细胞转染相应腺病毒36 h后,采用蛋白质印迹法检测AhR的蛋白表达;将剩余Ad-NC组细胞分为单纯Ad-NC组、Ad-NC+内毒素/脂多糖(LPS)组,将剩余Ad-AhR组细胞分为单纯Ad-AhR组和Ad-AhR+LPS组,并行相应处理12 h后,采用酶联免疫吸附测定法检测细胞上清液中白细胞介素6(IL-6)、肿瘤坏死因子α(TNF-α)的表达(样本数为6)。取20只小鼠提取PM并分为对照+Ad-NC组、创伤后6 h+Ad-NC组、对照+Ad-AhR组、创伤后6 h+Ad-AhR组,并行相应处理后,采用平板涂布法检测细胞内载菌量(样本数为6)。对数据行单因素方差分析、LSD检验、析因设计方差分析、独立样本 t检验。   结果   与对照组(1.16±0.28)比较,创伤后2 h组(0.59±0.14)、创伤后6 h组(0.72±0.16)、创伤后12 h组(0.71±0.17)PM中AhR的蛋白表达水平均明显降低( P<0.05)。对照组、创伤后2 h组、创伤后6 h组、创伤后12 h组PM中AhR的mRNA表达量组间总体比较,差异无统计学意义( P>0.05)。AhR信号通路相关分子包括 AhR、AhR抑制因子、细胞色素P450家族成员1b1、细胞色素P450家族成员11a1 热休克蛋白90、芳香烃受体-相互作用蛋白、热休克蛋白70相互作用蛋白。除创伤后2 h组PM的热休克蛋白90表达水平较对照组高,其他分子的表达水平在创伤后变化不明显。与对照组比较,创伤后6 h组PM中AhR泛素化水平升高。与单纯DMSO组比较,创伤后6 h+DMSO组PM中AhR的蛋白表达量下降,单纯MG-132组PM中AhR的蛋白表达量无明显变化。与创伤后6 h+DMSO组比较,创伤后6 h+MG-132组PM中AhR的蛋白表达量上调。转染36 h,与Ad-NC组比较,Ad-AhR组PM中AhR的蛋白表达水平明显升高。处理12 h,与Ad-NC+LPS组比较,Ad-AhR+LPS组PM上清液中IL-6、TNF-α的表达水平均明显降低( t值分别为4.80、3.82, P<0.05)。对照+Ad-NC组、创伤后6 h+Ad-NC组、对照+Ad-AhR组、创伤后6 h+Ad-AhR组1×10 6个PM的胞内载菌量分别为(3.0±1.8)、(41.8±10.2)、(1.8±1.2)、(24.2±6.3)集落形成单位。与创伤后6 h+Ad-NC组比较,创伤后6 h+Ad-AhR组PM的胞内载菌量明显减少( t=3.61, P<0.05)。   结论   严重创伤后小鼠PM中AhR发生泛素化降解导致其蛋白表达降低,增强创伤后巨噬细胞AhR的表达可降低LPS诱导的炎症因子IL-6和TNF-α的表达,且提升创伤后巨噬细胞的杀菌能力。

     

  • 参考文献(22)

    [1] EvansL,RhodesA,AlhazzaniW,et al.Surviving sepsis campaign: international guidelines for management of sepsis and septic shock 2021[J].Intensive Care Med,2021,47(11):1181-1247.DOI: 10.1007/s00134-021-06506-y.
    [2] LordJM,MidwinterMJ,ChenYF,et al.The systemic immune response to trauma: an overview of pathophysiology and treatment[J].Lancet,2014,384(9952):1455-1465.DOI: 10.1016/S0140-6736(14)60687-5.
    [3] ThompsonKB,KrispinskyLT,StarkRJ.Late immune consequences of combat trauma: a review of trauma-related immune dysfunction and potential therapies[J].Mil Med Res,2019,6(1):11.DOI: 10.1186/s40779-019-0202-0.
    [4] PeiselerM,KubesP.Macrophages play an essential role in trauma-induced sterile inflammation and tissue repair[J].Eur J Trauma Emerg Surg,2018,44(3):335-349.DOI: 10.1007/s00068-018-0956-1.
    [5] ZhuJY, LuoL, TianLX, et al. Aryl hydrocarbon receptor promotes IL-10 expression in inflammatory macrophages through Src-STAT3 signaling fathway[J]. Front Immunol, 2018, 9: 2033. DOI: 10.3389/fimmu.2018.02033.
    [6] WuDL,LiW,LokP,et al.AhR deficiency impairs expression of LPS-induced inflammatory genes in mice[J].Biochem Biophys Res Commun,2011,410(2):358-363.DOI: 10.1016/j.bbrc.2011.06.018.
    [7] BessedeA,GargaroM,PallottaMT,et al.Aryl hydrocarbon receptor control of a disease tolerance defence pathway[J].Nature,2014,511(7508):184-190.DOI: 10.1038/nature13323.
    [8] Moura-AlvesP,FaéK,HouthuysE,et al.AhR sensing of bacterial pigments regulates antibacterial defence[J].Nature,2014,512(7515):387-392.DOI: 10.1038/nature13684.
    [9] 殷双琴,罗莉,陈涛,等.基于转录组测序的创伤早期小鼠腹腔巨噬细胞差异表达基因的分析及验证[J].创伤外科杂志,2023,25(1):46-52,55.DOI: 10.3969/j.issn.1009-4237.2023.01.008.
    [10] Huber-LangM,LambrisJD,WardPA.Innate immune responses to trauma[J].Nat Immunol,2018,19(4):327-341.DOI: 10.1038/s41590-018-0064-8.
    [11] RothhammerV,QuintanaFJ.The aryl hydrocarbon receptor: an environmental sensor integrating immune responses in health and disease[J].Nat Rev Immunol,2019,19(3):184-197.DOI: 10.1038/s41577-019-0125-8.
    [12] XuK,YangZC,ShiRC,et al.Expression of aryl hydrocarbon receptor in rat brain lesions following traumatic brain injury[J].Diagn Pathol,2016,11(1):72.DOI: 10.1186/s13000-016-0522-2.
    [13] TanakaM, FujikawaM, OguroA, et al. Involvement of the microglial aryl hydrocarbon receptor in neuroinflammation and vasogenic edema after ischemic stroke[J]. Cells, 2021, 10(4): 718. DOI: 10.3390/cells10040718.
    [14] AgudoM,Pérez-MarínMC,Sobrado-CalvoP,et al.Immediate upregulation of proteins belonging to different branches of the apoptotic cascade in the retina after optic nerve transection and optic nerve crush[J].Invest Ophthalmol Vis Sci,2009,50(1):424-431.DOI: 10.1167/iovs.08-2404.
    [15] SheuML, PanLY, SheehanJ, et al. Modulation of aryl hydrocarbon receptor expression alleviated neuropathic pain in a chronic constriction nerve injury animal model[J]. Int J Mol Sci, 2022, 23(19): 11255. DOI: 10.3390/ijms231911255.
    [16] PollenzRS.The mechanism of AH receptor protein down-regulation (degradation) and its impact on AH receptor-mediated gene regulation[J].Chem Biol Interact,2002,141(1/2):41-61.DOI: 10.1016/s0009-2797(02)00065-0.
    [17] LuG,ZhouJW,YangT,et al.Landscape of metabolic fingerprinting for diagnosis and risk stratification of sepsis[J].Front Immunol,2022,13:883628.DOI: 10.3389/fimmu.2022.883628.
    [18] YangYJ, ChanWK. Selective autophagy maintains the aryl hydrocarbon receptor levels in Hela cells: a mechanism that is dependent on the p23 co-chaperone[J]. Int J Mol Sci, 2020, 21(10): 3449. DOI: 10.3390/ijms21103449.
    [19] 朱俊宇,范霞,梁华平.AhR调控炎性细胞因子的研究进展[J].免疫学杂志,2017,33(1):73-77.DOI: 10.13431/j.cnki.immunol.j.20170014.
    [20] KimuraA,AbeH,TsurutaS,et al.Aryl hydrocarbon receptor protects against bacterial infection by promoting macrophage survival and reactive oxygen species production[J].Int Immunol,2014,26(4):209-220.DOI: 10.1093/intimm/dxt067.
    [21] ZhaiDS,YeZC,JiangYH,et al.MOTS-c peptide increases survival and decreases bacterial load in mice infected with MRSA[J].Mol Immunol,2017,92:151-160.DOI: 10.1016/j.molimm.2017.10.017.
    [22] HuangZB, HuZ, LuCX, et al. Gut microbiota-derived indole 3-propionic acid partially activates aryl hydrocarbon receptor to promote macrophage phagocytosis and attenuate septic injury[J]. Front Cell Infect Microbiol, 2022, 12: 1015386. DOI: 10.3389/fcimb.2022.1015386.
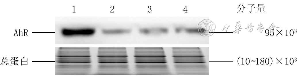
  • 1  蛋白质印迹法检测的对照组与3组创伤小鼠腹腔巨噬细胞AhR的蛋白表达

    注:AhR为芳香烃受体;条带上方1、2、3、4分别指示未致创伤的对照组、创伤后2 h组、创伤后6 h组、创伤后12 h组

    2  对照组与3组创伤小鼠腹腔巨噬细胞AhR信号通路相关分子的表达水平热图

    注:左侧缩写均为基因名称,AhR为芳香烃受体,Ahrr为芳香烃受体抑制因子,Cyp1b1为细胞色素P450家族成员1b1,Cyp11a1为细胞色素P450家族成员11a1,Hsp90为热休克蛋白90,Aip为芳香烃受体-相互作用蛋白,Chip为热休克蛋白70相互作用蛋白;热图上方1、2、3、4分别指示未致创伤的对照组、创伤后2 h组、创伤后6 h组、创伤后12 h组

    3  免疫沉淀法检测的对照组和创伤后6 h组小鼠腹腔巨噬细胞中AhR泛素化水平

    注:AhR为芳香烃受体;条带上方1、2分别指示未致创伤的对照组和创伤后6 h组

    4  蛋白质印迹法检测的4组小鼠腹腔巨噬细胞中AhR的蛋白表达

    注:AhR为芳香烃受体,DMSO为二甲基亚砜;条带上方1、2、3、4分别指示单纯DMSO组、创伤后6 h+DMSO组、单纯MG-132组、创伤后6 h+MG-132组

    5  蛋白质印迹法检测的2组创伤后小鼠腹腔巨噬细胞转染腺病毒36 h的AhR蛋白表达

    注:AhR为芳香烃受体,Ad-NC为空载腺病毒,Ad-AhR为AhR过表达腺病毒;条带上方1、2分别指示Ad-NC组、Ad-AhR组

    表1  4组创伤后小鼠腹腔巨噬细胞处理12 h后上清液中IL-6和TNF-α表达水平比较(pg/mL, x ¯ ± s

    组别 样本数 IL-6 TNF-α
    单纯Ad-NC组 6 451±207 379±181
    Ad-NC+LPS组 6 5 580±779 4 534±642
    单纯Ad-AhR组 6 399±200 345±190
    Ad-AhR+LPS组 6 3 397±797 3 063±689
    t 4.80 3.82
    P <0.001 0.003
    注:Ad-NC为空载腺病毒,LPS为内毒素/脂多糖,AhR为芳香烃受体,Ad-AhR为AhR过表达腺病毒,IL-6为白细胞介素6,TNF-α为肿瘤坏死因子α;IL-6、TNF-α表达的感染腺病毒类型主效应, F值分别为22.63、14.20, P值均<0.001;刺激类型主效应, F值分别为299.20、296.70, P值均<0.001;两者交互作用, F值分别为20.57、12.97, P值均<0.001; t值、 P值为Ad-NC+LPS组和Ad-AhR+LPS组各指标比较所得
    下载: 导出CSV
  • 加载中
图(6) / 表(1)
计量
  • 文章访问数:  2734
  • HTML全文浏览量:  827
  • PDF下载量:  22
  • 被引次数: 0
出版历程
  • 收稿日期:  2023-02-10

目录

    /

    返回文章
    返回