留言板

尊敬的读者、作者、审稿人, 关于本刊的投稿、审稿、编辑和出版的任何问题, 您可以本页添加留言。我们将尽快给您答复。谢谢您的支持!

姓名
邮箱
手机号码
标题
留言内容
验证码

视黄酸对小鼠放射性皮肤损伤的作用及其机制

田凯 易玉灵 许吴双 贾邹 吴平凡 盛蕾 孙卫 周晓中 伍丽君

田凯, 易玉灵, 许吴双, 等. 视黄酸对小鼠放射性皮肤损伤的作用及其机制[J]. 中华烧伤与创面修复杂志, 2025, 41(8): 783-792. DOI: 10.3760/cma.j.cn501225-20240420-00145.
引用本文: 田凯, 易玉灵, 许吴双, 等. 视黄酸对小鼠放射性皮肤损伤的作用及其机制[J]. 中华烧伤与创面修复杂志, 2025, 41(8): 783-792. DOI: 10.3760/cma.j.cn501225-20240420-00145.
Tian K,Yi YL,Xu WS,et al.Effects and mechanism of retinoic acid on radiation-induced skin injury in mice[J].Chin J Burns Wounds,2025,41(8):783-792.DOI: 10.3760/cma.j.cn501225-20240420-00145.
Citation: Tian K,Yi YL,Xu WS,et al.Effects and mechanism of retinoic acid on radiation-induced skin injury in mice[J].Chin J Burns Wounds,2025,41(8):783-792.DOI: 10.3760/cma.j.cn501225-20240420-00145.

视黄酸对小鼠放射性皮肤损伤的作用及其机制

doi: 10.3760/cma.j.cn501225-20240420-00145
基金项目: 

国家自然科学基金青年科学基金项目 82302831

苏州市科技发展科技攻关计划(医疗卫生创新)项目 SYW2025011

苏州大学附属第二医院科研预研项目 SDFEYJC2325

苏州大学附属第二医院学科建设托举工程项目 XKTJ-XK202409

省部共建放射医学与辐射防护国家重点实验室开放课题 GZK1202201

中核医疗科技创新项目 ZHYLTD2023001

详细信息
    通讯作者:

    伍丽君,Email:ljwu1986@163.com

Effects and mechanism of retinoic acid on radiation-induced skin injury in mice

Funds: 

Youth Science Fund Project of National Natural Science Foundation of China 82302831

Project of Science and Technology Research Program(Medical and Health Innovation) for Science and Technology Development of Suzhou SYW2025011

Scientific Pre-research Project of The Second Affiliated Hospital of Soochow University SDFEYJC2325

The Second Affiliated Hospital of Soochow University Discipline Construction Support Project XKTJ-XK202409

Province-Ministry Co-constructed State Key Laboratory of Radiological Medicine and Radiation Protection Open Project GZK1202201

China National Nuclear Corporation Medical Science and Technology Innovation Project ZHYLTD2023001

More Information
  • 摘要:   目的  探讨视黄酸对小鼠放射性皮肤损伤(RSI)的作用及其机制。  方法  该研究为实验研究。取HaCaT细胞,分为常规培养的对照组及损伤组、治疗组和拮抗组,后3组细胞均接受10 Gy X射线辐射,后2组细胞在辐射前均接受12 h的视黄酸预处理,最后1组细胞在辐射前另加入聚肌胞苷酸处理1 h。取3组辐射后24 h细胞及对照组相应时间点细胞,使用流式细胞仪检测细胞中活性氧水平,采用蛋白质印迹法检测细胞中白细胞介素6(IL-6)、肿瘤坏死因子α(TNF-α)、Toll样受体3(TLR3)、核因子κB的蛋白表达,样本数均为3。取24只6周龄雌性BALB/c小鼠,按随机数字表法分为对照组及损伤组、治疗组和拮抗组(每组6只),后3组小鼠右下肢均接受35 Gy电子线辐射造成RSI,后2组小鼠伤后0(即刻)、7、14、21、28、35、42 d均接受视黄酸处理且最后1组小鼠在这些时间点另接受聚肌胞苷酸处理,对照组小鼠模拟致假伤。伤后42 d,计算创面愈合率,采用激光散斑血流仪检测致伤处皮肤(即创面)组织血流灌注情况(以血流指数表示);取创面组织,行苏木精-伊红染色后计数炎症细胞并测量表皮厚度,行免疫组织化学染色检测IL-6和TNF-α表达,行免疫荧光染色检测TLR3表达,采用蛋白质印迹法检测TLR3和核因子κB的蛋白表达。  结果  损伤组细胞辐射后24 h活性氧水平及IL-6、TNF-α、TLR3与核因子κB的蛋白表达均显著高于对照组相应时间点(P<0.05),治疗组细胞辐射后24 h活性氧水平及IL-6、TLR3与核因子κB的蛋白表达均显著低于损伤组与拮抗组(P<0.05)。伤后42 d,对照组、损伤组、治疗组、拮抗组小鼠创面愈合率分别为(100.4±2.7)%、(77.5±2.5)%、(89.8±3.2)%、(70.1±4.8)%,治疗组小鼠创面愈合率显著高于损伤组与拮抗组(P值均<0.05)。伤后42 d,治疗组小鼠创面组织血流指数显著低于损伤组与拮抗组(P值均<0.05)。伤后42 d,与对照组比较,损伤组小鼠创面组织中炎症细胞数量显著增多且表皮厚度显著增厚(P<0.05);与治疗组比较,损伤组与拮抗组小鼠创面组织中炎症细胞数量显著增多且表皮厚度显著增厚(P<0.05)。伤后42 d,损伤组小鼠创面组织中IL-6、TNF-α、TLR3表达水平及TLR3、核因子κB的蛋白表达均显著高于对照组(P<0.05),治疗组小鼠创面组织中IL-6、TNF-α、TLR3表达水平及TLR3、核因子κB的蛋白表达均显著低于损伤组与拮抗组(P<0.05)。  结论  视黄酸通过抑制TLR3/核因子κB信号通路及其下游炎症因子的表达,显著减少辐射引起的细胞损伤,促进小鼠RSI修复。

     

  • 参考文献(40)

    [1] YangX,RenH,GuoX,et al.Radiation-induced skin injury: pathogenesis, treatment, and management[J].Aging (Albany NY),2020,12(22):23379-23393.DOI: 10.18632/aging.103932.
    [2] ShenJ,JiaoW,YangJ,et al.In situ photocrosslinkable hydrogel treats radiation-induced skin injury by ROS elimination and inflammation regulation[J].Biomaterials,2025,314:122891.DOI: 10.1016/j.biomaterials.2024.122891.
    [3] KiangJG,SmithJT,CannonG,et al.Ghrelin, a novel therapy, corrects cytokine and NF-κB-AKT-MAPK network and mitigates intestinal injury induced by combined radiation and skin-wound trauma[J].Cell Biosci,2020,10:63.DOI: 10.1186/s13578-020-00425-z.
    [4] WangY,GaoJ,SunL,et al.Jia-Wei-Si-Miao-Yong-An Fang stimulates the healing of acute radiation-induced cutaneous wounds through MAPK/ERK pathway[J].J Ethnopharmacol,2023,306:116180.DOI: 10.1016/j.jep.2023.116180.
    [5] 陈彦,程卓,马乐,等.放射性皮肤损伤鼠类创面中衰老细胞的数量与类型及功能异质性分析[J].中华烧伤与创面修复杂志,2025,41(6):577-587.DOI: 10.3760/cma.j.cn501225-20240604-00209.
    [6] 中国老年医学学会烧创伤分会,中华医学会组织修复与再生分会,中国康复医学会再生医学与康复专业委员会,等.放射性皮肤损伤的诊断和治疗专家共识(2024版)[J].中华烧伤与创面修复杂志,2024,40(8):701-712.DOI: 10.3760/cma.j.cn501225-20240126-00033.
    [7] StaceySK,McEleneyM.Topical corticosteroids: choice and application[J].Am Fam Physician,2021,103(6):337-343.
    [8] NiX,HuG,CaiX.The success and the challenge of all-trans retinoic acid in the treatment of cancer[J].Crit Rev Food Sci Nutr,2019,59(Suppl 1):S71-S80.DOI: 10.1080/10408398.2018.1509201.
    [9] WuD,KhanFA,ZhangK,et al.Retinoic acid signaling in development and differentiation commitment and its regulatory topology[J].Chem Biol Interact,2024,387:110773.DOI: 10.1016/j.cbi.2023.110773.
    [10] GhyselinckNB,DuesterG.Retinoic acid signaling pathways[J].Development,2019,146(13):dev167502.DOI: 10.1242/dev.167502.
    [11] PousoMR,CairraoE.Effect of retinoic acid on the neurovascular unit: a review[J].Brain Res Bull,2022,184:34-45.DOI: 10.1016/j.brainresbull.2022.03.011.
    [12] SzymańskiŁ,SkopekR,PalusińskaM,et al.Retinoic acid and its derivatives in skin[J].Cells,2020,9(12):2660.DOI: 10.3390/cells9122660.
    [13] SeyaT,TakedaY,MatsumotoM.A Toll-like receptor 3 (TLR3) agonist ARNAX for therapeutic immunotherapy[J].Adv Drug Deliv Rev,2019,147:37-43.DOI: 10.1016/j.addr.2019.07.008.
    [14] ChenY,LinJ,ZhaoY,et al.Toll-like receptor 3 (TLR3) regulation mechanisms and roles in antiviral innate immune responses[J].J Zhejiang Univ Sci B,2021,22(8):609-632.DOI: 10.1631/jzus.B2000808.
    [15] TakemuraN,KawasakiT,KunisawaJ,et al.Blockade of TLR3 protects mice from lethal radiation-induced gastrointestinal syndrome[J].Nat Commun,2014,5:3492.DOI: 10.1038/ncomms4492.
    [16] PuJ,ChenD,TianG,et al.All-trans retinoic acid attenuates transmissible gastroenteritis virus-induced inflammation in IPEC-J2 cells via suppressing the RLRs/NF-κB signaling pathway[J].Front Immunol,2022,13:734171.DOI: 10.3389/fimmu.2022.734171.
    [17] 黄从书,朱贵花,刘桂芳,等.60Co γ射线对HaCaT细胞损伤的模型建立及其机制[J].辐射研究与辐射工艺学报,2021,39(4):38-44.DOI: 10.11889/j.1000-3436.2021.rrj.39.040304.
    [18] ChenE,ChenC,NiuZ,et al.Poly(I:C) preconditioning protects the heart against myocardial ischemia/reperfusion injury through TLR3/PI3K/Akt-dependent pathway[J].Signal Transduct Target Ther,2020,5(1):216.DOI: 10.1038/s41392-020-00257-w.
    [19] MaL,ChenY,GongQ,et al.Cold atmospheric plasma alleviates radiation-induced skin injury by suppressing inflammation and promoting repair[J].Free Radic Biol Med,2023,204:184-194.DOI: 10.1016/j.freeradbiomed.2023.05.002.
    [20] TuW,TangS,YanT,et al.Integrative multi-omic analysis of radiation-induced skin injury reveals the alteration of fatty acid metabolism in early response of ionizing radiation[J].J Dermatol Sci,2022,108(3):178-186.DOI: 10.1016/j.jdermsci.2023.01.001.
    [21] 张进勇,谢宗能,孔平,等.散斑血流灌注成像在医学中的应用[J].激光与光电子学进展,2022,59(22):43-54.DOI: 10.3788/LOP202259.2200003.
    [22] LennickeC,CocheméHM.Redox metabolism: ROS as specific molecular regulators of cell signaling and function[J].Mol Cell,2021,81(18):3691-3707.DOI: 10.1016/j.molcel.2021.08.018.
    [23] SiesH,BelousovVV,ChandelNS,et al.Defining roles of specific reactive oxygen species (ROS) in cell biology and physiology[J].Nat Rev Mol Cell Biol,2022,23(7):499-515.DOI: 10.1038/s41580-022-00456-z.
    [24] AnX,YuW,LiuJ,et al.Oxidative cell death in cancer: mechanisms and therapeutic opportunities[J].Cell Death Dis,2024,15(8):556.DOI: 10.1038/s41419-024-06939-5.
    [25] ChenS,LiQ,ShiH,et al.New insights into the role of mitochondrial dynamics in oxidative stress-induced diseases[J].Biomed Pharmacother,2024,178:117084.DOI: 10.1016/j.biopha.2024.117084.
    [26] WangB,WangY,ZhangJ,et al.ROS-induced lipid peroxidation modulates cell death outcome: mechanisms behind apoptosis, autophagy, and ferroptosis[J].Arch Toxicol,2023,97(6):1439-1451.DOI: 10.1007/s00204-023-03476-6.
    [27] SchofieldJH,SchaferZT.Mitochondrial reactive oxygen species and mitophagy: a complex and nuanced relationship[J].Antioxid Redox Signal,2021,34(7):517-530.DOI: 10.1089/ars.2020.8058.
    [28] HuntM,TorresM,Bachar-WikstromE,et al.Cellular and molecular roles of reactive oxygen species in wound healing[J].Commun Biol,2024,7(1):1534.DOI: 10.1038/s42003-024-07219-w.
    [29] DongY,WangZ.ROS-scavenging materials for skin wound healing: advancements and applications[J].Front Bioeng Biotechnol,2023,11:1304835.DOI: 10.3389/fbioe.2023.1304835.
    [30] MoreiraHR,MarquesAP.Vascularization in skin wound healing: where do we stand and where do we go?[J].Curr Opin Biotechnol,2022,73:253-262.DOI: 10.1016/j.copbio.2021.08.019.
    [31] PeñaOA,MartinP.Cellular and molecular mechanisms of skin wound healing[J].Nat Rev Mol Cell Biol,2024,25(8):599-616.DOI: 10.1038/s41580-024-00715-1.
    [32] DaiS,WenY,LuoP,et al.Therapeutic implications of exosomes in the treatment of radiation injury[J/OL].Burns Trauma,2022,10:tkab043[2024-04-20].https://pubmed.ncbi.nlm.nih.gov/35071650/.DOI: 10.1093/burnst/tkab043.
    [33] ChenW,WangY,ZhengJ,et al.Characterization of cellular senescence in radiation ulcers and therapeutic effects of mesenchymal stem cell-derived conditioned medium[J/OL].Burns Trauma,2023,11:tkad001[2024-04-20].https://pubmed.ncbi.nlm.nih.gov/37188110/.DOI: 10.1093/burnst/tkad001.
    [34] KawczakP,FeszakI,BrzezińskiP,et al.Structure-activity relationships and therapeutic applications of retinoids in view of potential benefits from drug repurposing process[J].Biomedicines,2024,12(5):1059.DOI: 10.3390/biomedicines12051059.
    [35] FerreiraR,NapoliJ,EnverT,et al.Advances and challenges in retinoid delivery systems in regenerative and therapeutic medicine[J].Nat Commun,2020,11(1):4265.DOI: 10.1038/s41467-020-18042-2.
    [36] GattuS,BangYJ,PendseM,et al.Epithelial retinoic acid receptor β regulates serum amyloid A expression and vitamin A-dependent intestinal immunity[J].Proc Natl Acad Sci U S A,2019,116(22):10911-10916.DOI: 10.1073/pnas.1812069116.
    [37] SakaniwaK,FujimuraA,ShibataT,et al.TLR3 forms a laterally aligned multimeric complex along double-stranded RNA for efficient signal transduction[J].Nat Commun,2023,14(1):164.DOI: 10.1038/s41467-023-35844-2.
    [38] KimD,GarzaLA.Hypothesis: wound-induced TLR3 activation stimulates endogenous retinoic acid synthesis and signalling during regeneration[J].Exp Dermatol,2019,28(4):450-452.DOI: 10.1111/exd.13931.
    [39] LimCS,JangYH,LeeGY,et al.TLR3 forms a highly organized cluster when bound to a poly(I:C) RNA ligand[J].Nat Commun,2022,13(1):6876.DOI: 10.1038/s41467-022-34602-0.
    [40] LavudiK,NuguriSM,OlversonZ,et al.Targeting the retinoic acid signaling pathway as a modern precision therapy against cancers[J].Front Cell Dev Biol,2023,11:1254612.DOI: 10.3389/fcell.2023.1254612.
  • 图  1  采用蛋白质印迹法检测的3组放射性损伤HaCaT细胞辐射后24 h及对照组HaCaT细胞相应时间点炎症因子蛋白表达。1A.IL-6;1B.TNF-α;1C.TLR3与核因子κB

    注:条带上方1、2、3、4分别指示细胞常规培养的对照组、细胞仅接受10 Gy X射线辐射的损伤组、细胞同前辐射并接受12 h视黄酸预处理的治疗组、细胞同前辐射及预处理并在辐射前加入聚肌胞苷酸处理1 h的拮抗组;IL-6为白细胞介素6,TNF-α为肿瘤坏死因子α,TLR3为Toll样受体3

    图  2  4组放射性皮肤损伤小鼠伤后42 d致伤处皮肤组织血流灌注情况。2A、2B、2C、2D.分别为对照组、损伤组、治疗组、拮抗组,图2A与2C血流灌注量较低,明显低于图2B与2D

    注:对照组小鼠模拟致假伤,损伤组小鼠仅接受35 Gy电子线辐射,治疗组小鼠同前辐射并于伤后0(即刻)、7、14、21、28、35、42 d均接受视黄酸处理,拮抗组小鼠同前辐射及处理并于前述各时间点另接受聚肌胞苷酸处理;颜色越红表示血流灌注量越大,颜色越蓝表示血流灌注量越小

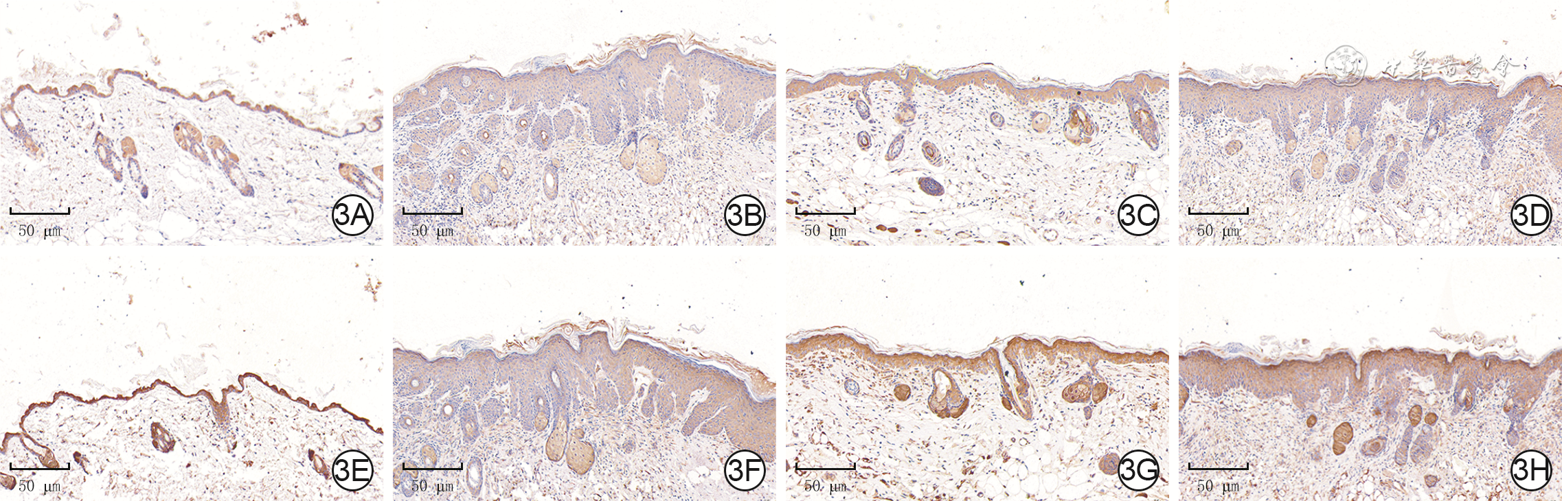
    图  3  4组放射性皮肤损伤小鼠伤后42 d致伤处皮肤组织中IL-6和TNF-α表达 二氨基联苯胺-苏木精×100。3A、3B、3C、3D.分别为对照组、损伤组、治疗组、拮抗组IL-6表达(棕色)情况,图3A与3C中IL-6表达较低,明显低于图3B与3D;3E、3F、3G、3H.分别为对照组、损伤组、治疗组、拮抗组TNF-α表达(棕色)情况,图3E与3G中TNF-α表达较低,明显低于图3F与3H

    注:对照组小鼠模拟致假伤,损伤组小鼠仅接受35 Gy电子线辐射,治疗组小鼠同前辐射并于伤后0(即刻)、7、14、21、28、35、42 d均接受视黄酸处理,拮抗组小鼠同前辐射及处理并于前述各时间点另接受聚肌胞苷酸处理;IL-6为白细胞介素6,TNF-α为肿瘤坏死因子α

    图  4  4组放射性皮肤损伤小鼠伤后42 d致伤处皮肤组织中TLR3表达 Alexa Fluor 488-4',6-二脒基-2-苯基吲哚×100。4A、4B、4C、4D.分别为对照组、损伤组、治疗组、拮抗组,图4A与4C中TLR3表达较低,明显低于图4B与4D

    注:对照组小鼠模拟致假伤,损伤组小鼠仅接受35 Gy电子线辐射,治疗组小鼠同前辐射并于伤后0(即刻)、7、14、21、28、35、42 d均接受视黄酸处理,拮抗组小鼠同前辐射及处理并于前述各时间点另接受聚肌胞苷酸处理;Toll样受体3(TLR3)阳性表达呈绿色,细胞核阳性表达呈蓝色

    图  5  采用蛋白质印迹法检测的4组放射性皮肤损伤小鼠伤后42 d致伤处皮肤组织中TLR3与核因子κB的蛋白表达

    注:条带上方1、2、3、4分别指示对照组、损伤组、治疗组、拮抗组;对照组小鼠模拟致假伤,损伤组小鼠仅接受35 Gy电子线辐射,治疗组小鼠同前辐射并于伤后0(即刻)、7、14、21、28、35、42 d均接受视黄酸处理,拮抗组小鼠同前辐射及处理并于前述各时间点另接受聚肌胞苷酸处理;TLR3为Toll样受体3

    组别样本数白细胞介素6肿瘤坏死因子αToll样受体3核因子κB
    对照组30.91±0.130.83±0.120.88±0.110.946±0.107
    损伤组31.69±0.032.47±1.313.23±0.191.363±0.130
    治疗组30.78±0.122.24±0.901.02±0.230.588±0.124
    拮抗组31.12±0.053.42±0.332.14±0.310.986±0.092
    F55.855.1854.7523.09
    P<0.0010.026<0.001<0.001
    P1<0.0010.039<0.0010.002
    P2<0.0010.738<0.001<0.001
    P30.0020.1140.0010.003
    注:对照组细胞常规培养,损伤组细胞仅接受10 Gy X射线辐射,治疗组细胞同前辐射并接受12 h视黄酸预处理,拮抗组细胞同前辐射及预处理并在辐射前加入聚肌胞苷酸处理1 h;F值、P值为组间各指标总体比较所得;P1值、P2值、P3值分别为对照组与损伤组、损伤组与治疗组、治疗组与拮抗组各指标比较所得
    下载: 导出CSV

    Table  2.   4组放射性皮肤损伤小鼠伤后各时间点致伤处皮肤组织损伤程度评分比较(分,x¯±s

    组别样本数7 d14 d21 d28 d35 d42 d
    对照组6000000
    损伤组601.08±0.251.79±0.292.25±0.222.00±0.162.04±0.29
    治疗组6000.71±0.180.95±0.180.87±0.130.25±0.22
    拮抗组601.29±0.292.62±0.132.79±0.292.62±0.262.45±0.18
    P1<0.001<0.001<0.001<0.001<0.001
    P2<0.001<0.001<0.001<0.001<0.001
    P3<0.001<0.001<0.001<0.001<0.001
    注:对照组小鼠模拟致假伤,损伤组小鼠仅接受35 Gy电子线辐射,治疗组小鼠同前辐射并于伤后0(即刻)、7、14、21、28、35、42 d均接受视黄酸处理,拮抗组小鼠同前辐射及处理并于前述各时间点另接受聚肌胞苷酸处理;处理因素主效应,F=963.74,P<0.001;时间因素主效应,F=257.83,P<0.001;两者交互作用,F=51.42,P<0.001;P1值、P2值、P3值分别为对照组与损伤组、损伤组与治疗组、治疗组与拮抗组各时间点比较所得;“—”表示无此项
    下载: 导出CSV
  • 加载中
图(6) / 表(2)
计量
  • 文章访问数:  705
  • HTML全文浏览量:  288
  • PDF下载量:  9
  • 被引次数: 0
出版历程
  • 收稿日期:  2024-04-20

目录

    /

    返回文章
    返回