留言板

尊敬的读者、作者、审稿人, 关于本刊的投稿、审稿、编辑和出版的任何问题, 您可以本页添加留言。我们将尽快给您答复。谢谢您的支持!

姓名
邮箱
手机号码
标题
留言内容
验证码

烫伤后海水浸泡合并创伤弧菌感染脓毒症大鼠模型的构建

邓碧涵 成鑫月 祝筱梅 王军 姚咏明

邓碧涵, 成鑫月, 祝筱梅, 等. 烫伤后海水浸泡合并创伤弧菌感染建立脓毒症大鼠模型[J]. 中华烧伤与创面修复杂志, 2026, 42(2): 1-10. DOI: 10.3760/cma.j.cn501225-20251017-00432.
引用本文: 邓碧涵, 成鑫月, 祝筱梅, 等. 烫伤后海水浸泡合并创伤弧菌感染建立脓毒症大鼠模型[J]. 中华烧伤与创面修复杂志, 2026, 42(2): 1-10. DOI: 10.3760/cma.j.cn501225-20251017-00432.
Deng Bihan,Cheng xinyue,Zhu Xiaomei,et al.Establishing a rat model of sepsis by combining seawater immersion with Vibrio vulnificus infection after burns[J].Chin J Burns Wounds,2026,42(2):1-10.DOI: 10.3760/cma.j.cn501225-20251017-00432.
Citation: Deng Bihan,Cheng xinyue,Zhu Xiaomei,et al.Establishing a rat model of sepsis by combining seawater immersion with Vibrio vulnificus infection after burns[J].Chin J Burns Wounds,2026,42(2):1-10.DOI: 10.3760/cma.j.cn501225-20251017-00432.

烫伤后海水浸泡合并创伤弧菌感染脓毒症大鼠模型的构建

doi: 10.3760/cma.j.cn501225-20251017-00432
基金项目: 

国家自然科学基金重点项目 82130062

国家自然科学基金面上项目 82272200

江苏省干部保健科研课题 ZKX24011

南京市医学科技发展资金资助项目 BJ23031

详细信息
    通讯作者:

    王军,Email:wjgaogou@aliyun.com

    姚咏明,Email:c_ff@sina.com

Establishing a rat model of sepsis by combining seawater immersion with Vibrio vulnificus infection after burns

Funds: 

Key Project of National Natural Science Foundation of China 82130062

General Project of National Natural Science Foundation of China 82272200

Key Project supported by the Medical Science and Technology Development Foundation,Nanjing Department of Health ZKX24011

Jiangsu Province Cadre Health Care Project BJ23031

  • 摘要:   目的  建立烫伤后海水浸泡合并创伤弧菌感染脓毒症大鼠模型,为海洋烧创伤脓毒症研究提供实验基础。  方法  该研究采用析因设计,为实验研究。取115只8周龄雄性SD大鼠,按照随机数字表法(分组方法下同)分为模型组(45只)、单纯烫伤组(40只)和假伤组(30只),前2组大鼠背部均先行烫伤处理,然后分别行人工海水浸泡30 min+创伤弧菌注射、生理盐水注射;后1组大鼠背部先浸入温水做假伤处理,然后注射生理盐水。建模后1、3、5 d,采用苏木精-伊红染色法检测3组大鼠肝、肾、肺、心脏的病理变化,采用半定量评分体系评估前述脏器病理损伤情况;按照试剂盒说明书,采用酶标仪检测3组大鼠血清中天冬氨酸氨基转移酶(AST)、丙氨酸氨基转移酶(ALT)、尿素氮、肌酐、肌酸激酶同工酶(CK-MB)、乳酸脱氢酶(LDH)及髓过氧化物酶(MPO)的含量;通过称量3组大鼠新鲜肺组织及其烘干后重量,计算肺湿干比重;采用流式细胞仪检测单纯烫伤组和模型组大鼠外周血中辅助性T细胞、B细胞和细胞毒性T细胞的占比;采用酶联免疫吸附测定法检测3组大鼠血清中白细胞介素(IL)-6、IL-10、IL-1β、肿瘤坏死因子-α(TNF-α)等炎症因子表达水平。另取70只8周龄雄性SD大鼠,随机分为假伤组、单纯烫伤组、烫伤+淡水浸泡组、烫伤+海水浸泡组、烫伤+感染组、单纯感染组、模型组,每组10只。模型组、单纯烫伤组和假伤组大鼠做同前处理;烫伤+淡水浸泡组、烫伤+海水浸泡组大鼠背部先行烫伤处理,然后分别行淡水、人工海水浸泡30 min;单纯感染组大鼠背部经皮下注射创伤弧菌;烫伤+感染组大鼠背部先行烫伤处理,伤后30 min再注射创伤弧菌。建模后7 d内,每天观察大鼠生存情况并计算其生存比例。  结果  建模后1、3、5 d,假伤组大鼠肝、肾、肺、心脏的组织结构基本正常,未见明显病理性损伤;单纯烫伤组大鼠前述脏器组织均存在轻至中度炎症反应,胞质疏松,呈现明显的细胞水肿,但整体结构基本正常;模型组大鼠前述脏器组织均出现明显病理改变,其中建模后3 d最为严重,主要表现为严重的炎症反应、组织损伤,甚至坏死。与假伤组相比,模型组大鼠建模后1、3、5 d肝、肾、肺、心脏病理损伤情况评分均明显升高(P<0.05);与单纯烫伤组相比,模型组大鼠建模后1 d肝、肾、肺、心脏病理损伤情况评分均明显升高(P<0.05),建模后3、5 d肝、肾、肺病理损伤情况评分均明显升高(P<0.05)。与假伤组相比,模型组大鼠建模后1 d血清中AST、ALT、尿素氮、肌酐、CK-MB、LDH、MPO含量及肺湿干比重均明显升高(P<0.05),建模后3、5 d血清中AST、ALT、尿素氮、肌酐、LDH、MPO含量及肺湿干比重均明显升高(P<0.05)。与单纯烫伤组相比,模型组大鼠建模后1 d血清中AST、ALT、尿素氮、肌酐、CK-MB、LDH、MPO含量及肺湿干比重均明显升高(P<0.05),建模后3 d血清中AST、ALT、肌酐、LDH含量均明显升高(P<0.05),建模后5 d血清中AST、ALT、肌酐、LDH、MPO含量均明显升高(P<0.05)。建模后1、3、5 d,与假伤组相比,模型组大鼠外周血中辅助性T细胞、B细胞、细胞毒性T细胞占比均明显降低(P<0.05)。建模后1、3、5 d,模型组大鼠血清中IL-6、IL-10、IL-1β、TNF-α表达水平均明显高于假伤组和单纯烫伤组(P<0.05)。建模后7 d,模型组大鼠的生存比例仅为5/10,而假伤组和单纯感染组大鼠的生存比例均为10/10。建模后7 d内,模型组大鼠生存比例显著低于假伤组、单纯烫伤组、烫伤+淡水浸泡组、烫伤+海水浸泡组及单纯感染组(χ2值分别为19.31、12.11、12.33、9.01、17.61,P值均<0.05),而与烫伤+感染组接近(P>0.05)。  结论  采用烫伤后海水浸泡合并创伤弧菌感染处理可建立脓毒症大鼠模型,该模型大鼠的主要脏器均出现明显病理改变,炎症因子表达水平均显著升高,辅助性T细胞、B细胞、细胞毒性T细胞等免疫细胞占比均明显降低,生存比例显著降低,是可靠的实验动物模型。

     

  • 参考文献(40)

    [1] TadlockMD, EdsonTD, CancioJM, et al. War at sea: burn care challenges-past, present and future[J]. Eur Burn J, 2023,4(4):605-630. DOI: 10.3390/ebj4040041.
    [2] RaoD, KumarP, PrabhuV. Advancements in seawater immersion wound management: current treatments and innovations[J]. Int Wound J, 2024,21(10):e70070. DOI: 10.1111/iwj.70070.
    [3] Hernández-CabanyeroC, SanjuánE, FouzB, et al. The effect of the environmental temperature on the adaptation to host in the zoonotic pathogen Vibrio vulnificus[J]. Front Microbiol, 2020,11:489. DOI: 10.3389/fmicb.2020.00489.
    [4] 中华预防医学会. 创伤弧菌感染诊治、预防专家共识[J]. 中华流行病学杂志, 2025, 46(7): 1142-1149.DOI: 10.3760/cma.j.cn112338-20250304-00132.
    [5] KimJS, LeeEG, ChunBC. Epidemiologic characteristics and case fatality rate of Vibrio vulnificus infection: analysis of 761 cases from 2003 to 2016 in Korea[J]. J Korean Med Sci, 2022,37(9):e79. DOI: 10.3346/jkms.2022.37.e79.
    [6] FleischmannS, HerrigI, WespJ, et al. Prevalence and distribution of potentially human pathogenic Vibrio spp. on German North and Baltic Sea Coasts[J]. Front Cell Infect Microbiol, 2022,12:846819. DOI: 10.3389/fcimb.2022.846819.
    [7] DiW, CuiJ, YuH, et al. Vibrio vulnificus necrotizing fasciitis with sepsis presenting with pain in the lower legs in winter: a case report[J]. BMC Infect Dis, 2022,22(1):670. DOI: 10.1186/s12879-022-07655-1.
    [8] BrossMH, SochK, MoralesR, et al. Vibrio vulnificus infection: diagnosis and treatment[J]. Am Fam Physician, 2007, 76(4): 539-544.
    [9] LiG, WangMY. The role of Vibrio vulnificus virulence factors and regulators in its infection-induced sepsis[J]. Folia Microbiol (Praha), 2020,65(2):265-274. DOI: 10.1007/s12223-019-00763-7.
    [10] RiedingerD, HassenrückC, HerlemannD, et al. Global distribution and predictive modeling of Vibrio vulnificus abundance[J]. Commun Earth Environ, 2025, 6:210.DOI: 10.1038/s43247-025-02182-8.
    [11] CandelliM, Sacco FernandezM, TriunfoC, et al. Vibrio vulnificus-A Review with a Special Focus on sepsis[J]. Microorganisms, 2025,13(1):128.DOI: 10.3390/microorganisms13010128.
    [12] 林伟鹏, 穆旭, 陈胜华,等 11例创伤弧菌感染患者的临床特征及该病快速诊断流程的建立[J]. 中华烧伤与创面修复杂志, 2024, 40(3):266-272.DOI: 10.3760/cma.j.cn501225-20230803-00036.
    [13] 中国医疗保健国际交流促进会烧伤医学分会, 《中华烧伤与创面修复杂志》编辑委员会. 烧伤侵袭性真菌感染诊断与防治实践指南(2024版)[J].中华烧伤与创面修复杂志,2024,40(7):604-617. DOI: 10.3760/cma.j.cn501225-20240103-00003.
    [14] Gibson-CorleyKN, OlivierAK, MeyerholzDK. Principles for valid histopathologic scoring in research[J]. Vet Pathol, 2013,50(6):1007-1015. DOI: 10.1177/0300985813485099.
    [15] SingerM, DeutschmanCS, SeymourCW, et al. The Third International Consensus Definitions for Sepsis and Septic Shock (Sepsis-3)[J]. JAMA, 2016,315(8):801-810. DOI: 10.1001/jama.2016.0287.
    [16] 李成刚, 姜楠. 腹部开放性海水浸泡伤的病理生理变化与救治策略 [J]. 解放军医学院学报, 2021, 42(3): 350-352, 357.DOI: 10.3969/j.issn.2095-5227.2021.03.022.
    [17] 贾赤宇, 尹斌, 张泽鑫. 重度烧伤的转录组学研究:价值与机遇[J]. 中华烧伤与创面修复杂志, 2024, 40(6): 514-520.DOI: 10.3760/cma.j.cn501225-20231026-00135.
    [18] SauaiaA, MooreFA, MooreEE. Postinjury inflammation and organ dysfunction[J]. Crit Care Clin, 2017,33(1):167-191. DOI: 10.1016/j.ccc.2016.08.006.
    [19] RemickDG, AyalaA, ChaudryIH, et al. Premise for standardized sepsis models[J]. Shock, 2019,51(1):4-9. DOI: 10.1097/SHK.0000000000001164.
    [20] 杨宇轩, 王甲汉, 刘亮,等. 海水浸泡对浅Ⅱ度烫伤大鼠早期炎症反应及氧自由基损伤的影响[J]. 中华烧伤杂志, 2017, 33(6): 361-367.DOI: 10.3760/cma.j.issn.1009-2587.2017.06.015.
    [21] DedeepyaSD, GoelV, DesaiNN. Letter regarding: effects of irrigation with normal saline on traumatic brain injury combined with seawater immersion in rats[J]. J Surg Res, 2026,317:604-605. DOI: 10.1016/j.jss.2025.11.038.
    [22] PalmieriTL, HeardJ. Biomarkers of sepsis in burn injury: an update[J/OL]. Burns Trauma, 2025,13:tkae080[2025-10-17]. https://pubmed.ncbi.nlm.nih.gov/39822649/. DOI: 10.1093/burnst/tkae080.
    [23] 洪广亮, 卢才教, 赵光举, 等. 创伤弧菌脓毒症诊疗方案(2018)[J].中华急诊医学杂志,2018,27(6):594-598. DOI: 10.3760/cma.j.issn.1671-0282.2018.06.005.
    [24] 宋景春,丁仁彧,吕奔,等. 脓毒症性凝血病诊疗中国专家共识(2024版)[J]. 解放军医学杂志,2024,49(11):1221-1236. DOI: 10.11855/j.issn.0577-7402.1189.2024.0918.
    [25] LeeBC, KimMS, ChoiSH, et al. Involvement of capsular polysaccharide via a TLR2/NF-kappaB pathway in Vibrio vulnificus-induced IL-8 secretion of human intestinal epithelial cells [J]. Int J Mol Med, 2010, 25(4): 581-591.DOI: 10.3892/ijmm_00000380.
    [26] ConstantinescuMC, PerteaM, Avadanei-LucaS, et al. Variation of pro- and anti-inflammatory factors in severe burns: a systematic review[J]. Int J Mol Sci, 2025, 26(20):10131.DOI: 10.3390/ijms262010131.
    [27] RuddKE, JohnsonSC, AgesaKM, et al. Global, regional, and national sepsis incidence and mortality, 1990-2017: analysis for the Global Burden of Disease Study[J]. Lancet, 2020,395(10219):200-211. DOI: 10.1016/S0140-6736(19)32989-7.
    [28] 肖盼, 张宇琼. 烧伤患者创面感染情况及影响因素分析[J]. 华南预防医学, 2023, 49(10): 1229-1232,1238.DOI: 10.12183/j.scjpm.2023.1229.
    [29] ZhangD, SongJ, ZhanJ, et al. The impact of ulinastatin on lymphocyte apoptosis and autophagy in sepsis patients[J]. Sci Rep, 2024,14(1):28791. DOI: 10.1038/s41598-024-79878-y.
    [30] 孙炳伟,王逸凡,杨云稀. 中性粒细胞与烧伤脓毒症[J]. 中华烧伤与创面修复杂志,2024,40(7):618-624.DOI: 10.3760/cma.j.cn501225-20240329-00109.
    [31] LiuD, HuangSY, SunJH, et al. Sepsis-induced immunosuppression: mechanisms, diagnosis and current treatment options[J]. Mil Med Res, 2022,9(1):56. DOI: 10.1186/s40779-022-00422-y.
    [32] 周岐原,李京宴,姚咏明,等. 脱嘌呤/脱嘧啶脱氧核糖核酸内切酶1对模拟脓毒症状态下小鼠树突状细胞铁死亡的作用[J]. 中华烧伤与创面修复杂志,2024,40(10):930-939.DOI: 10.3760/cma.j.cn501225-20240430-00159.
    [33] GaoX, CaiS, LiX, et al. Sepsis-induced immunosuppression: mechanisms, biomarkers and immunotherapy[J]. Front Immunol, 2025,16:1577105. DOI: 10.3389/fimmu.2025.1577105.
    [34] 李亚楠, 郭素丽. 血常规指标及相关参数在脓毒症的研究进展[J]. 国际临床研究杂志, 2024, 8(6).DOI: 10.12208/j.ijcr.20240224.
    [35] WangZ, ZhangW, ChenL, et al. Lymphopenia in sepsis: a narrative review[J]. Crit Care, 2024,28(1):315. DOI: 10.1186/s13054-024-05099-4.
    [36] 刘双庆, 祝筱梅, 姚咏明. 严重烧创伤脓毒症免疫功能障碍的诊疗策略[J]. 中华创伤杂志, 2025, 41(5):433-439.DOI: 10.3760/cma.j.cn501098-20250407-00197.
    [37] 彭海伦,赵月丽,徐崇孝,等. 成人脓毒症分型研究进展[J]. 解放军医学杂志,2023,48(9):1107-1112. DOI: 10.11855/j.issn.0577-7402.1426.2022.0915.
    [38] 范仕郡, 吴丹, 夏林, 等. 小鼠烧伤创面脓毒症模型的建立与评价[J]. 中国比较医学杂志, 2022, 32(6):7-13.DOI: 10.3969/j.issn.1671-7856.2022.06.002.
    [39] 陈玉熹, 卢中秋, 邱俏檬, 等. 创伤弧菌脓毒症大鼠肺组织NF-κB和IL-18的基因表达以及药物的干预效应[J].中华医院感染学杂志, 2010, 20(3): 320-323.
    [40] QiaoRB, DaiWH, LiW, et al. The cytochrome P4501A1 (CYP1A1) inhibitor bergamottin enhances host tolerance to multidrug-resistant Vibrio vulnificus infection[J]. China J Traumatol, 2024,27(5):295-304. DOI: 10.1016/j.cjtee.2024.07.003.
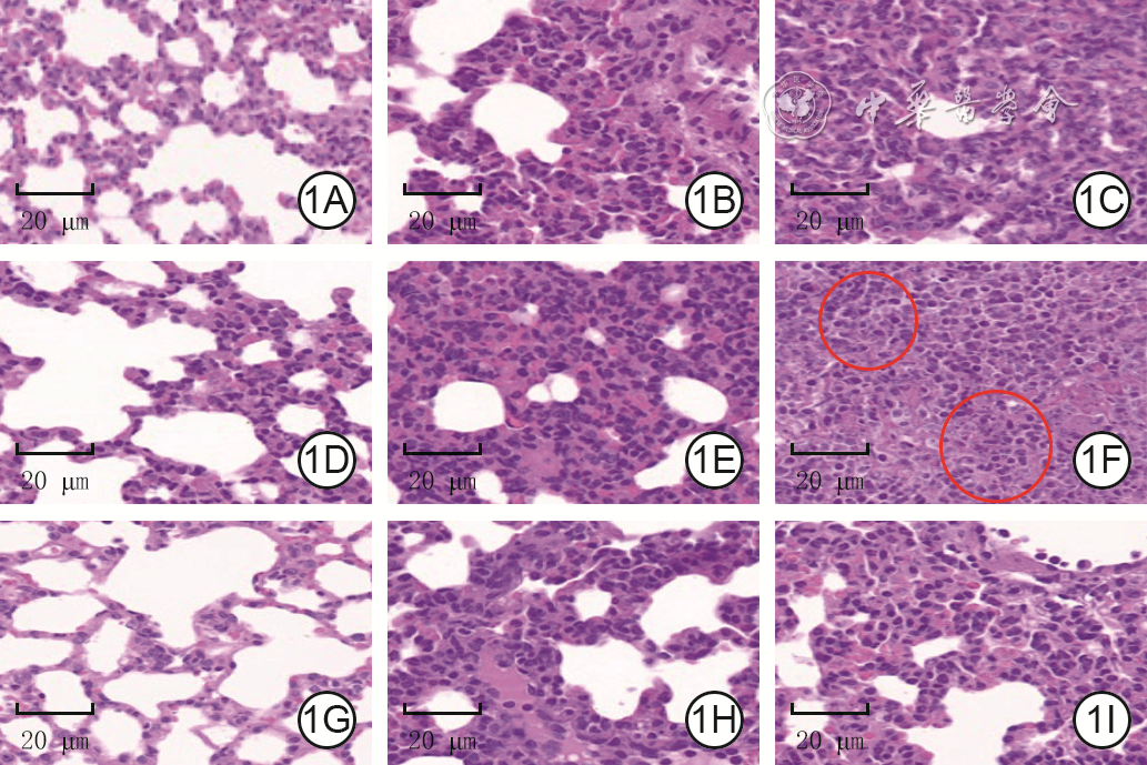
  • 图  1  3组大鼠建模后各时间点肺组织病理变化 苏木精-伊红 ×400。1A、1B、1C.分别为假伤组、单纯烫伤组、模型组建模后1 d肺的病理情况;1D、1E、1F.分别为假伤组、单纯烫伤组、模型组建模后3 d肺的病理情况,可见图1F中肺结构被破坏、肺泡间隔显著增厚(红色圆圈内区域所示);1G、1H、1I.分别为假伤组、单纯烫伤组、模型组建模后5 d肺的病理情况

    注:烫伤+海水浸泡+感染组(简称模型组)、单纯烫伤组大鼠背部均先行烫伤处理,然后分别行人工海水浸泡30 min+创伤弧菌注射处理以及注射生理盐水;假伤组大鼠背部先浸入温水做假伤处理,然后注射生理盐水

    图  2  7组大鼠建模后7 d内的生存比例比较(样本数为10)

    注:烫伤+海水浸泡+感染组(简称模型组)、单纯烫伤组大鼠背部均先行烫伤处理,然后分别行人工海水浸泡30 min+创伤弧菌注射处理以及注射生理盐水;假伤组大鼠背部先浸入温水做假伤处理,然后注射生理盐水;烫伤+淡水浸泡组、烫伤+海水浸泡组大鼠先行烫伤处理,然后分别行淡水、人工海水浸泡30 min;单纯感染组大鼠背部注射创伤弧菌;烫伤+感染组大鼠先行烫伤处理,伤后30 min再注射创伤弧菌;假伤组大鼠生存比例与单纯感染组重合,单纯烫伤组大鼠生存比例折线与烫伤+淡水浸泡组大部分重合;与模型组比较,aP<0.05

    Table  1.   3组大鼠建模后各时间点主要脏器的病理损伤情况评分比较(分,x¯±s

    组别与时间点样本数心脏
    假伤组
    建模后1 d90.50±0.210.30±0.080.32±0.150.33±0.10
    建模后3 d90.63±0.140.37±0.140.27±0.120.42±0.21
    建模后5 d90.48±0.210.42±0.150.30±0.150.38±0.15
    单纯烫伤组
    建模后1 d92.47±0.161.53±0.121.67±0.221.52±0.19
    建模后3 d93.83±0.172.31±0.172.37±0.302.32±0.37
    建模后5 d93.15±0.321.65±0.101.35±0.412.55±0.33
    模型组
    建模后1 d93.97±0.482.33±0.232.18±0.242.40±0.37
    建模后3 d95.83±0.373.38±0.252.85±0.192.58±0.32
    建模后5 d94.87±0.392.88±0.192.17±0.262.55±0.23
    P1<0.001<0.001<0.001<0.001
    P2<0.001<0.001<0.001<0.001
    P3<0.001<0.001<0.001<0.001
    P4<0.001<0.0010.002<0.001
    P5<0.001<0.0010.0030.245
    P6<0.001<0.001<0.0010.999
    注:烫伤+海水浸泡+感染组(简称模型组)、单纯烫伤组大鼠背部均先行烫伤处理,然后分别行人工海水浸泡30 min+创伤弧菌注射处理以及注射生理盐水;假伤组大鼠背部先浸入温水做假伤处理,然后注射生理盐水;肝、肾、肺、心脏病理损伤情况评分的处理因素主效应,F值分别为989.80、996.80、363.30、329.07,P值均<0.001;时间因素主效应,F值分别为65.11、63.69、26.53、12.78,P值均<0.001;两者交互作用,F值分别为13.73、16.13、8.54、6.66,P值均<0.001;P₁值、P2值、P3值分别为模型组建模后1、3、5 d各指标与假伤组各指标比较所得;P4值、P5值、P₆值分别为模型组建模后1、3、5 d各指标与单纯烫伤组各指标比较所得
    下载: 导出CSV

    Table  2.   3组大鼠建模后各时间点血清中各指标含量及肺湿干比重比例(x¯±s

    组别与时间点样本数ALT(U/L)AST(U/L)尿素氮(mmol/L)肌酐(μmol/L)CK-MB(U/L)LDH(U/L)MPO(U/L)肺湿干比重
    假伤组
    建模后1 d935±435±59.8±1.718.9±1.4924±105881±897.5±0.83.34±0.12
    建模后3 d936±436±610.0±1.318.1±1.6947±82890±1217.7±1.03.36±0.20
    建模后5 d933±533±59.8±1.218.3±1.5891±144867±1157.4±0.83.43±0.17
    单纯烫伤组
    建模后1 d988±694±814.0±2.424.8±4.91 038±991 102±1410.4±1.13.75±0.18
    建模后3 d952±866±621.7±2.825.8±4.5984±1731 355±20813.8±1.74.30±0.22
    建模后5 d938±541±922.18±3.021.9±2.4853±1441 209±8912.3±2.64.02±0.14
    模型组
    建模后1 d9175±9214±1426.4±3.428.5±1.51 199±1592 750±72118.3±1.75.01±0.49
    建模后3 d9119±13195±1924.7±3.130.2±4.01 056±1532 494±56015.9±1.54.50±0.25
    建模后5 d986±8171±1622.8±5.225.6±3.4917±1502 375±40114.7±2.24.21±0.23
    P1<0.001<0.001<0.001<0.001<0.001<0.001<0.001<0.001
    P2<0.001<0.001<0.001<0.0010.220<0.001<0.001<0.001
    P3<0.001<0.001<0.001<0.0010.913<0.001<0.001<0.001
    P4<0.001<0.001<0.0010.031<0.001<0.001<0.001<0.001
    P5<0.001<0.0010.0830.0120.514<0.0010.1560.205
    P6<0.001<0.0010.8890.0320.582<0.0010.0050.231
    注:AST为天冬氨酸氨基转移酶,ALT为丙氨酸氨基转移酶,CK-MB为肌酸激酶同工酶,LDH为乳酸脱氢酶,MPO为髓过氧化物酶;烫伤+海水浸泡+感染组(简称模型组)、单纯烫伤组大鼠背部均先行烫伤处理,然后分别行人工海水浸泡30 min+创伤弧菌注射处理以及注射生理盐水;假伤组大鼠背部先浸入温水做假伤处理,然后注射生理盐水;AST、ALT、尿素氮、肌酐、CK-MB、LDH、MPO及肺湿干比重的处理因素主效应,F值分别为1 066.00、1 572.00、177.30、65.90、10.30、169.64、205.10、164.40,P值均<0.001;时间因素主效应,F值分别为265.80、60.61、3.66、5.71、5.88、0.67、2.42、3.79,P值分别为<0.001、<0.001、0.031、0.005、0.004、0.517、0.096、0.027;二者交互作用,F值分别为77.48、14.17、11.14、1.69、2.95、1.62、9.85、16.46,P值分别为<0.001、<0.001、<0.001、0.161、0.026、0.180、<0.001、<0.001;P1值、P2值、P3值分别为为模型组建模后1、3、5 d各指标与假伤组各指标比较所得;P4值、P5值、P6值分别为为模型组建模后1、3、5 d各指标与单纯烫伤组各指标比较所得
    下载: 导出CSV

    Table  3.   2组大鼠建模后各时间点外周血中各类免疫细胞占比比较(%,x¯±s

    组别与时间点样本数辅助性T细胞B细胞细胞毒性T细胞
    假伤组
    建模后1 d330.12±0.668.44±0.255.84±0.39
    建模后3 d331.57±1.589.05±0.325.48±0.53
    建模后5 d330.93±1.958.52±0.135.42±0.28
    模型组
    建模后1 d37.63±0.901.74±0.091.62±0.66
    建模后3 d38.95±0.432.36±0.272.03±0.10
    建模后5 d37.50±0.132.51±0.091.77±0.68
    P1<0.001<0.001<0.001
    P2<0.001<0.001<0.001
    P3<0.001<0.001<0.001
    注:烫伤+海水浸泡+感染组(简称模型组)大鼠背部先行烫伤处理,然后行人工海水浸泡+创伤弧菌注射处理;假伤组大鼠背部先浸入温水做假伤处理,然后注射生理盐水;辅助T细胞、B细胞及细胞毒性T细胞占比的处理因素主效应,F值分别为1 827.52、4 230.00、269.98,P值均<0.001;时间因素主效应,F值分别为2.42、13.27、0.19,P值分别为0.131、<0.001、0.832;二者交互作用,F值分别为0.30、5.40、1.00,P值分别为0.745、0.021、0.400;P₁值、P2值、P3值分别为模型组建模后1、3、5 d各指标与假伤组建模后1、3、5 d各指标比较所得
    下载: 导出CSV

    Table  4.   3组大鼠建模后各时间点血清中各炎症因子表达水平比较(pg/mL,x¯±s

    组别与时间点样本数IL-6IL-10IL-1βTNF-α
    假伤组
    建模后1 d916±428±523±340±6
    建模后3 d920±527±623±342±5
    建模后5 d920±528±421±441±5
    单纯烫伤组
    建模后1 d933±437±387±14115±37
    建模后3 d953±449±756±1371±14
    建模后5 d940±4129±2946±1961±8
    模型组
    建模后1 d9178±10223±25512±72211±7
    建模后3 d9138±12324±50245±21181±13
    建模后5 d9116±8184±20178±8100±15
    P1<0.001<0.001<0.001<0.001
    P2<0.001<0.001<0.001<0.001
    P3<0.001<0.001<0.001<0.001
    P4<0.001<0.001<0.001<0.001
    P5<0.001<0.001<0.001<0.001
    P6<0.001<0.001<0.001<0.001
    注:烫伤+海水浸泡+感染组(简称模型组)、单纯烫伤组大鼠背部均先行烫伤处理,然后分别行人工海水浸泡30 min+创伤弧菌注射处理以及注射生理盐水;假伤组大鼠背部先浸入温水做假伤处理,然后注射生理盐水;白细胞介素(IL)-6、IL-10、IL-1β、肿瘤坏死因子-α(TNF-α)的处理因素主效应,F值分别为2 643.00、707.80、973.40、440.10,P值均<0.001;时间因素主效应,F值分别为45.28、18.83、173.80、85.70,P值均<0.001;二者交互作用,F值分别为87.53、60.26、122.70、35.03,P值均<0.001;P₁值、P2值、P3值分别为模型组建模后1、3、5 d各指标与假伤组各指标比较所得;P4值、P5值、P₆值为模型组建模后1、3、5 d各指标与单纯烫伤组各指标比较所得
    下载: 导出CSV
  • 邓碧涵 2月5日.mp4
  • 加载中
图(3) / 表(4)
计量
  • 文章访问数:  51
  • HTML全文浏览量:  82
  • PDF下载量:  11
  • 被引次数: 0
出版历程
  • 收稿日期:  2025-10-17
  • 网络出版日期:  2026-02-09

目录

    /

    返回文章
    返回