当期目录
2025年 第41卷 第10期
2025,
41(10):
918-927. doi: 10.3760/cma.j.cn501225-20250722-00316
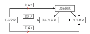
摘要:
2025,
41(10):
937-948. doi: 10.3760/cma.j.cn501225-20250721-00315
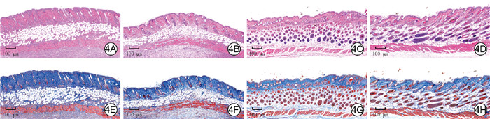
摘要:
2025,
41(10):
949-957. doi: 10.3760/cma.j.cn501225-20250422-00186
摘要:
2025,
41(10):
958-967. doi: 10.3760/cma.j.cn501225-20250630-00286
摘要:
2025,
41(10):
968-976. doi: 10.3760/cma.j.cn501225-20241106-00436
摘要:
2025,
41(10):
977-985. doi: 10.3760/cma.j.cn501225-20250220-00074
摘要:
2025,
41(10):
986-993. doi: 10.3760/cma.j.cn501225-20241130-00468
摘要:
2025,
41(10):
994-997. doi: 10.3760/cma.j.cn501225-20250219-00071
摘要:
2025,
41(10):
998-1003. doi: 10.3760/cma.j.cn501225-20250708-00292
摘要:
2025,
41(10):
1004-1010. doi: 10.3760/cma.j.cn501225-20241231-00516
摘要:



在线阅读
PDF